Стоматит — воспаление слизистой оболочки рта, часто встречающееся у детей 3-6 лет и старше. Важно распознавать его симптомы и знать методы лечения для облегчения состояния ребенка и предотвращения осложнений. В статье рассмотрим основные причины стоматита у детей, его симптомы, а также эффективные способы лечения и профилактики, что поможет родителям своевременно оказать помощь и обеспечить комфорт малышу.
Причины развития стоматита
У детей слизистая оболочка рта отличается тонкостью и уязвимостью, что делает её подверженной повреждениям. Иммунная система в этом возрасте также не всегда способна эффективно защищать от инфекций. Основные причины и факторы, способствующие развитию стоматита у детей, включают:
-
вирусные инфекции, наиболее распространённый из которых — вирус герпеса;
-
механические, химические и термические повреждения ротовой полости;
-
грибковые инфекции;
-
несоблюдение гигиенических норм;
-
нехватка витаминов и необходимых микроэлементов;
-
использование ортодонтических аппаратов, способствующих накоплению бактериального налёта;
-
длительный курс антибиотикотерапии;
-
аллергические реакции;
-
ослабленный иммунитет;
-
неправильное питание;
-
частые стрессы и продолжительное нервное напряжение.
Врачи отмечают, что стоматит у детей в возрасте 3-5 лет является распространенной проблемой, требующей внимательного подхода. Важно понимать, что лечение должно быть комплексным и учитывать индивидуальные особенности ребенка. Специалисты рекомендуют начинать с консультации педиатра или детского стоматолога, чтобы определить тип стоматита и его причины.
В зависимости от диагноза, лечение может включать антисептические растворы для полоскания рта, гели и мази для местного применения, а также препараты для укрепления иммунной системы. Врач может порекомендовать специальные диеты, исключающие острые и кислые продукты, чтобы снизить дискомфорт.
Также важно следить за гигиеной полости рта и избегать травмирования слизистой оболочки. В большинстве случаев стоматит проходит быстро, но при отсутствии улучшений или ухудшении состояния необходимо повторное обращение к врачу.
https://youtube.com/watch?v=LyDD6BJpcJM
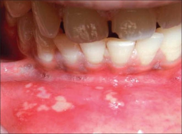
Признаки стоматита и его опасность
Только квалифицированный специалист может установить диагноз заболевания, основываясь на проведенном обследовании и необходимых анализах. Форму стоматита можно определить по характерным признакам, а именно:
-
вирусный стоматит — проявляется наличием прозрачных пузырьков на слизистой ротовой полости. Когда пузырьки лопаются, возникают болезненные воспалительные участки, вызывающие дискомфорт у ребенка. Это состояние сопровождается покраснением слизистой;
-
герпетический стоматит — характеризуется появлением болезненных язвочек в полости рта, которые после заживления образуют мраморный рисунок. В запущенных случаях у ребенка может быть до 20 язв одновременно, которые могут находиться не только в ротовой полости, но и в горле, на губах и крыльях носа;
-
афтозный стоматит — считается инфекционно-аллергическим заболеванием, склонным к хроническому течению. Для него характерно образование эпителиального некроза (так называемые афты с ярко-красным ободком);
-
бактериальный стоматит — внутренние поверхности рта становятся темно-алого цвета, на губах появляются желтые корочки, а изо рта исходит неприятный запах;
-
кандидозный стоматит — слизистая рта становится сухой, затем на ней образуется налет творожистой консистенции, который легко удаляется ватным тампоном. После удаления под налетом может появиться кровь.
У детей старше трех лет стоматит встречается крайне редко, так как это заболевание чаще всего наблюдается у малышей. Инкубационный период стоматита длится около недели, после чего болезнь переходит в острую стадию. Начинается она с появления налета в ротовой полости, который может быть белым, желтым или серым.
Симптомы заболевания у детей старше трех лет включают:
- значительное повышение температуры;
- появление лихорадки;
- тошноту и рвоту;
- общую слабость;
- отсутствие аппетита;
- воспаление лимфатических узлов;
- иногда кашель и насморк;
- на второй-третий день болезни появляются болезненные язвы во рту.
Детский организм не обладает сильной иммунной защитой, и стоматит делает его еще более восприимчивым к различным инфекциям и вирусам. Кроме того, частые случаи стоматита могут привести к разрушению зубной эмали и развитию заболеваний зубов и ротовой полости. Из-за боли ребенок может отказаться от еды, что может вызвать потерю веса и задержку в развитии.
| Аспект | Описание | Рекомендации по лечению |
|---|---|---|
| Виды стоматита | Герпетический: Вызывается вирусом герпеса, проявляется пузырьками, язвочками, лихорадкой. Афтозный: Характеризуется появлением болезненных афт (округлых язвочек) на слизистой. Кандидозный (молочница): Вызывается грибками Candida, проявляется белым налетом на языке, щеках, деснах. Травматический: Возникает из-за механических повреждений (прикусывание, ожоги). |
Герпетический: Противовирусные препараты (по назначению врача), обезболивающие гели, антисептики. Афтозный: Антисептические растворы для полоскания, обезболивающие гели, средства для заживления слизистой. Кандидозный: Противогрибковые препараты (по назначению врача), обработка полости рта содовым раствором. Травматический: Устранение причины травмы, антисептические растворы, заживляющие средства. |
| Симптомы | Общие: Повышение температуры, отказ от еды, капризность, увеличение лимфоузлов. Местные: Покраснение, отечность слизистой, появление пузырьков, язвочек, налета, боль при глотании и разговоре, неприятный запах изо рта. |
Обезболивание: Гели с лидокаином или бензокаином (для детей старше 2 лет), парацетамол или ибупрофен при лихорадке и сильной боли. Снятие воспаления: Отвары ромашки, календулы для полоскания (если ребенок умеет полоскать). |
| Общие рекомендации | Диета: Мягкая, протертая, нераздражающая пища комнатной температуры. Исключить острое, кислое, соленое, горячее. Гигиена: Регулярное, но бережное очищение полости рта. Использование мягкой зубной щетки. Питьевой режим: Обильное питье (вода, несладкие компоты, отвары трав). Изоляция: При герпетическом стоматите ограничить контакты с другими детьми. |
Консультация врача: Обязательна при появлении первых симптомов, особенно у маленьких детей. Местное лечение: Антисептические растворы (Мирамистин, Хлоргексидин — по возрасту), заживляющие гели (Метрогил Дента — по возрасту, Солкосерил дентальная адгезивная паста). Витамины: По назначению врача для укрепления иммунитета. |
| Профилактика | Гигиена: Регулярное мытье рук, использование индивидуальной посуды. Иммунитет: Сбалансированное питание, достаточный сон, прогулки на свежем воздухе, закаливание. Избегание травм: Следить за тем, чтобы ребенок не грыз твердые предметы, не обжигал рот. Своевременное лечение: Лечение кариеса и других заболеваний полости рта. |
Ограничение контактов: Избегать контакта с больными герпесом. Противовирусные препараты: По назначению врача при частых рецидивах герпетического стоматита. Пробиотики: Могут быть рекомендованы для поддержания здоровой микрофлоры. |
Стоматит у ребенка 3-4 года: как и чем лечить
Диагностику заболевания осуществляет педиатр или детский стоматолог. Специалист проводит осмотр, а также берет анализ крови и мазок слизистой рта для дальнейшего лабораторного исследования. На основе полученных данных врач разрабатывает индивидуальный план лечения и дает рекомендации по режиму дня и питанию.
В случае вирусного или герпетического стоматита трехлетнему ребенку может понадобиться госпитализация, однако в большинстве случаев лечение можно проводить в домашних условиях.
Терапия вирусного и герпетического типов заболевания может включать обработку слизистой рта (полоскание или использование бинта) травяными настоями, такими как ромашка, календула, кора дуба и другие, а также применение противовоспалительных медикаментов. Для ускорения заживления язв рекомендуется обрабатывать их прополисом, который доступен в аптеке в форме спрея.
Для местного лечения врач может назначить одну из противогерпетических мазей, например, «Зовиракс» или «Ацикловир». В дополнение к медикаментозной терапии важно укреплять иммунитет заболевшего ребенка, для чего назначается курс витаминов и микроэлементов. При рецидивирующем течении болезни может быть рекомендован курс противовирусных препаратов для перорального приема.
Афтозный стоматит у детей в возрасте 3-4 лет требует обязательной консультации гастроэнтеролога, который может назначить соответствующее лечение. В первую очередь, для детей старше 2 лет необходимо применение противомикробных средств, таких как растворы «Йодинол», «Камистад», борная кислота и другие. Если гастроэнтеролог разрешит, можно использовать травяные отвары для полоскания рта. Также ребенку назначаются витамины группы В. Важно устранить основное заболевание, вызывающее стоматит, иначе лечение будет неэффективным.
Для лечения бактериального стоматита трехлетнему ребенку назначают местную терапию — полоскание рта раствором хлоргексидина или слабым раствором марганцовки. Эффективны также препараты «Хлорофиллипт» и «Мирамистин». В случае тяжелой формы заболевания могут быть назначены антибиотики из группы пенициллинов и иммуномодуляторы. Укрепление иммунной системы и ускорение выздоровления способствуют витамины.
Кандидозный стоматит лечится местными противогрибковыми средствами, такими как «Фукорцин», «Пимафуцин», «Нистаниновая мазь» и другие. Эти препараты наносятся на пораженные участки слизистой оболочки рта.
Часто при стоматите применяются препараты «Стоматидин» (антисептик, который облегчает боль от язв) и «Гексорал» (обладает противомикробным действием). Также при любом виде заболевания проводится симптоматическая терапия, включая назначение жаропонижающих средств.
https://youtube.com/watch?v=Pvvj0UXrYs0
Стоматит у ребенка 5-6 лет: как и чем лечить
Лечение стоматита у детей в возрасте 5-6 лет проходит в три этапа:
-
подготовительный этап;
-
коррекция питания и режима дня;
-
непосредственно медикаментозная терапия.
На начальной стадии заболевание легко поддается лечению. Поэтому при первых симптомах важно обратиться к врачу. Это поможет избежать страданий ребенка и ускорить процесс выздоровления.
Второй этап лечения включает изменения в распорядке дня и рационе питания малыша. Необходимо тщательно обрабатывать игрушки и предметы, с которыми контактирует ребенок, антисептическими растворами, так как стоматит может передаваться через бытовые вещи. Ребенку следует выделить отдельные тарелку, ложку, кружку, средства личной гигиены и полотенце.
Третий этап лечения заключается в использовании медикаментов, которые назначает врач после осмотра и определения типа и формы заболевания. Существует несколько групп препаратов для лечения стоматита:
-
противовирусные средства: «Ацикловир» (используется детская форма, наносят каждые 7–8 часов), «Оксолиновая мазь» (наносят на пораженную слизистую 3-4 раза в день);
-
обезболивающие с лидокаином: «Камистад» (обрабатывают ротовую полость 2-3 раза в день), «Лидохлор» (применяется перед едой, эффект длится до 15 минут);
-
средства для заживления ран: «Солкосерил» (регенерирующая паста, применяется 4 раза в день — перед едой и перед сном), «Бальзам Шостаковского» (можно использовать до 5 раз в день после еды, противопоказан при гиперчувствительности), «Стоматофит» (для полоскания рта);
-
антисептики: «Метрогил Дента» (рекомендуется детям старше 6 лет, наносят утром и вечером), «Прополис спрей» (иммуностимулятор, ускоряющий заживление пораженной слизистой).
Использование народных средств для лечения стоматита у детей 5-6 лет должно проводиться только после консультации с врачом. Это поможет избежать осложнений и ускорит выздоровление. Рекомендуется выбирать 1-2 метода, так как сочетание нескольких рецептов может привести к ожогам и ухудшению состояния. Наиболее эффективные народные средства от стоматита:
-
полоскания или промывание ротовой полости раствором соли и соды (в стакане кипяченой воды растворяют по 1 ч. ложке соды и соли) 2 раза в день;
-
протирание пораженных участков льняным и персиковым маслами;
-
полоскание смесью яичного белка и воды. Для этого белок разводят в 0,5 стакана кипяченой воды;
-
компрессы из сырого картофеля. Овощ натирают и прикладывают к пораженным участкам;
-
обработка соком алоэ или каланхоэ, а также настоями трав (ромашка, календула, кора дуба и др.). Для приготовления настоя 2 ч. ложки травы заливают 3 стаканами кипящей воды и настаивают не менее 3 часов.
Стоматит у ребенка 7 лет и старше
Лечение стоматита у семилетнего ребенка схоже с терапией этого заболевания у детей в возрасте 5-6 лет. Важно также учитывать следующие рекомендации специалистов:
-
диетическое питание – необходимо исключить твердую, горячую, острую, сладкую и любую другую пищу, которая может повредить чувствительную слизистую оболочку рта и усугубить болезненные язвы. В рацион стоит включить натуральные продукты, такие как простокваша, творог и йогурт;
-
обеспечить достаточное питье – по желанию ребенка, предлагайте ему теплый чай, чистую воду или травяные отвары;
-
соблюдать гигиену – аккуратная чистка зубов, полоскания антисептическими растворами после каждого приема пищи или чаще (можно использовать «Хлоргексидин», «Фурацилин», отвары ромашки, календулы, шалфея), тщательное мытье рук, обработка игрушек, выделение отдельной посуды и личных предметов гигиены для ребенка;
-
при повышенной температуре тела (выше 38,5 градусов) рекомендуется давать жаропонижающее средство для облегчения состояния малыша.
Если ребенку уже исполнилось 10 лет, можно применять не только методы лечения стоматита, предназначенные для младших детей, но и более взрослые подходы. При назначении медикаментов подростку учитываются причины заболевания и общая клиническая картина.
Для детей старше 10 лет назначается комплекс препаратов: таблетки для рассасывания, ополаскиватели, мази, спреи, гели и другие. Если ребенка беспокоит сильная боль, ухудшающая качество жизни, врачи рекомендуют использовать обезболивающие средства. В частности, можно применять анестезирующие препараты, такие как «Анестезин» или «Гексорал Табс», а также растворы «Хлоргексидин» и «Бензокаин». Гель «Лидохлор» также эффективен, обеспечивая обезболивание через 5 минут после применения.
Можно смазывать пораженные участки ваткой, пропитанной перекисью водорода, затем высушить эти места и обработать 50% настоем прополиса.
Рекомендуется выбрать спрей от стоматита, который удобно использовать в течение дня. К таким средствам относятся «Гексорал», «Люголь», «Ингалипт», «Винилин», «Каметон» в форме спрея. Обезболивание, лечение и профилактика могут проводиться с использованием отваров календулы, ромашки или сока каланхоэ для полоскания.
Конкретные препараты для лечения стоматита у подростков врач назначает после осмотра и необходимых исследований.
Снижение защитных функций организма часто связано с авитаминозом или нехваткой определенных микроэлементов в рационе. Прием комплексных витаминно-минеральных добавок, таких как «Компливит», «Ревит», «Витрум», «Алфавит», «Мультитабс», поможет ребенку старше 7 лет восстановить силы, сбалансировать полезные вещества и укрепить иммунитет. Большинство из этих комплексов рекомендуется принимать в течение длительного времени – до трех месяцев.
Кроме витаминов, врач может порекомендовать подростку иммуномодуляторы (синтетические или натуральные вещества, которые влияют на фагоцитарные функции организма). Для лечения стоматита в домашних условиях у детей старше 10 лет подойдут препараты, повышающие уровень иммуноглобулина в слюне:
-
«Имудон» – назначается при остром течении заболевания. Рекомендуется принимать шесть раз в день с равными интервалами;
-
«Виферон» – мазь эффективно восстанавливает местный иммунитет слизистой оболочки рта. Наносить следует до 4 раз в день тонким слоем на воспаленные участки;
-
«Галавит» – применяется при остром течении заболевания, требующем внутримышечных инъекций. Дозировка для подростков составляет 100 мг в сутки, курс лечения – 5 дней.
Контроль над питанием заболевшего ребенка
Для уменьшения болевых ощущений родителям стоит обратить внимание на специальное питание для ребенка, страдающего от болезни. Из рациона малыша следует полностью исключить кислые, соленые, острые и сладкие продукты. Также рекомендуется временно отказаться от молока, цитрусовых и соков из них. В рацион лучше включить вареные овощи, супы и каши. Приготовленные блюда должны быть мягкими и легко усваиваемыми. В моркови, яблоках, персиках, тыкве и сладком перце содержится много витамина С, который способствует укреплению иммунной системы и помогает при воспалительных процессах. Полезными для ребенка будут морская рыба, куриное филе и вареные яйца. Важно обеспечить достаточное потребление жидкости, отдавая предпочтение компотам, киселям, натуральным йогуртам и травяным чаям.
Как можно лечить стоматит в домашних условиях, можно узнать из видео:
https://youtube.com/watch?v=h7VG8zFHnPs
Профилактика стоматита у детей
Профилактика стоматита у детей является важным аспектом заботы о здоровье полости рта. Стоматит может возникать по различным причинам, включая вирусные и бактериальные инфекции, аллергические реакции, травмы слизистой оболочки и недостаток витаминов. Чтобы минимизировать риск его возникновения, родителям следует обратить внимание на несколько ключевых моментов.
1. Соблюдение гигиены полости рта. Регулярная и правильная гигиена полости рта – основа профилактики стоматита. Рекомендуется чистить зубы ребенку дважды в день с использованием детской зубной пасты, содержащей фтор. Также важно следить за тем, чтобы ребенок не забывал о чистке языка и десен. Использование мягкой зубной щетки поможет избежать травмирования слизистой.
2. Правильное питание. Сбалансированное питание, богатое витаминами и минералами, играет важную роль в поддержании здоровья полости рта. В рацион ребенка должны входить свежие фрукты и овощи, молочные продукты, орехи и злаки. Избегайте избыточного потребления сладостей и кислых продуктов, которые могут раздражать слизистую оболочку рта.
3. Укрепление иммунной системы. Сильная иммунная система помогает организму бороться с инфекциями, которые могут вызывать стоматит. Для этого важно обеспечить ребенку достаточное количество сна, физическую активность и прогулки на свежем воздухе. Также стоит обратить внимание на профилактические прививки, которые могут защитить от вирусных инфекций.
4. Избегание травм. Травмы слизистой оболочки рта могут привести к развитию стоматита. Родителям следует следить за тем, чтобы ребенок не играл с острыми предметами и не кусал твердые игрушки. Также стоит избегать жесткой пищи, которая может повредить десны и слизистую.
5. Регулярные визиты к стоматологу. Профилактические осмотры у стоматолога помогут выявить возможные проблемы на ранних стадиях. Специалист сможет дать рекомендации по уходу за полостью рта и выявить факторы, способствующие развитию стоматита.
6. Обучение ребенка правилам гигиены. Важно объяснить ребенку, почему необходимо соблюдать гигиену полости рта и как правильно это делать. Играя в стоматолога или читая книги о здоровье, можно сделать процесс обучения более увлекательным и запоминающимся.
Следуя этим рекомендациям, родители могут значительно снизить риск возникновения стоматита у своих детей и обеспечить им здоровую и красивую улыбку.
Когда обращаться к врачу: признаки осложнений
Стоматит у детей может проявляться различными симптомами, и важно уметь распознать признаки, которые требуют немедленного обращения к врачу. Если у вашего ребенка наблюдаются следующие симптомы, это может указывать на осложнения, требующие профессиональной медицинской помощи.
- Увеличение температуры: Если температура тела ребенка превышает 38,5°C и не снижается в течение нескольких дней, это может свидетельствовать о наличии инфекции или воспалительного процесса.
- Сильная боль: Если ребенок жалуется на интенсивную боль в ротовой полости, которая мешает ему есть, пить или говорить, это может быть признаком более серьезного воспаления или инфекции.
- Отказ от еды и питья: Если ребенок отказывается от пищи и жидкости более 24 часов, это может привести к обезвоживанию и требует немедленного вмешательства.
- Появление язв: Если на слизистой оболочке рта появляются большие или множественные язвы, которые не заживают в течение недели, это может указывать на более серьезное заболевание.
- Отек и покраснение: Значительное покраснение и отек десен, языка или других участков рта могут быть признаком бактериальной инфекции или аллергической реакции.
- Общее ухудшение состояния: Если ребенок выглядит вялым, у него наблюдаются признаки общей интоксикации (слабость, головная боль, тошнота), это также требует обращения к врачу.
- Появление гнойных выделений: Если из язв или воспаленных участков рта выделяется гной, это может указывать на бактериальную инфекцию, требующую лечения антибиотиками.
Важно помнить, что стоматит может быть вызван различными факторами, включая вирусные и бактериальные инфекции, аллергические реакции, травмы и недостаток витаминов. Поэтому, если вы заметили у ребенка один или несколько из перечисленных симптомов, не откладывайте визит к врачу. Специалист сможет провести необходимую диагностику и назначить адекватное лечение, что поможет избежать возможных осложнений и ускорить процесс выздоровления.
Рекомендации по уходу за полостью рта ребенка
Уход за полостью рта ребенка — это важный аспект, который может значительно снизить риск возникновения стоматита и других заболеваний. Правильная гигиена полости рта помогает поддерживать здоровье десен и зубов, а также предотвращает развитие инфекций. Вот несколько рекомендаций, которые помогут родителям заботиться о ротовой полости своего ребенка:
- Регулярная чистка зубов: Рекомендуется чистить зубы два раза в день — утром и перед сном. Для детей в возрасте 3-5 лет лучше использовать зубную пасту с низким содержанием фтора и мягкую зубную щетку, подходящую для их возраста. Чистка зубов должна проходить под контролем родителей, чтобы убедиться, что ребенок выполняет процедуру правильно.
- Использование ополаскивателей: После чистки зубов можно использовать специальные ополаскиватели для детей, которые помогут удалить остатки пищи и бактерии. Однако важно убедиться, что ребенок умеет сплевывать ополаскиватель, а не глотать его.
- Соблюдение режима питания: Правильное питание играет ключевую роль в здоровье полости рта. Избегайте чрезмерного употребления сладостей и кислых продуктов, которые могут повредить зубную эмаль. Включите в рацион ребенка больше овощей, фруктов и молочных продуктов, которые способствуют укреплению зубов.
- Регулярные визиты к стоматологу: Профилактические осмотры у стоматолога должны проводиться не реже двух раз в год. Специалист сможет выявить возможные проблемы на ранней стадии и дать рекомендации по уходу за зубами и деснами.
- Обучение ребенка гигиене: Важно объяснить ребенку, зачем нужна гигиена полости рта и как правильно ухаживать за зубами. Используйте игровые методы, чтобы сделать процесс более увлекательным и понятным для малыша.
- Избегание травм: Следите за тем, чтобы ребенок не травмировал десны и зубы во время игр. Объясните ему, что нельзя кусать твердые предметы, такие как ручки или игрушки, чтобы избежать повреждений.
- Контроль за состоянием полости рта: Регулярно проверяйте состояние ротовой полости ребенка. Обратите внимание на любые изменения, такие как покраснение, отек или появление язвочек, и при необходимости обратитесь к врачу.
Следуя этим рекомендациям, родители могут значительно снизить риск возникновения стоматита и других заболеваний полости рта у своих детей. Забота о здоровье зубов и десен с раннего возраста поможет сформировать правильные привычки и обеспечит крепкое здоровье на будущее.


