Воспаление горла у детей 3–5 лет — распространенная проблема для родителей. В этот период дети часто подвержены инфекциям, что вызывает дискомфорт и ухудшение состояния. В статье рассмотрим эффективные и безопасные методы для облегчения симптомов и восстановления здоровья ребенка. Эти рекомендации помогут родителям своевременно реагировать на недомогание и обеспечить комфортное выздоровление.
Распространенные ЛОР-заболевания горла
Если у вашего ребенка болит горло, то в более чем 90% случаев это связано с острыми респираторными вирусными инфекциями (ОРВИ). Кроме ощущения дискомфорта и боли в горле, могут проявляться и другие симптомы, такие как:
• заложенность носа;
• незначительное повышение температуры;
• кашель.
В оставшихся 10% случаев воспаление горла может указывать на наличие одного из заболеваний ЛОР-органов. Рассмотрим наиболее распространенные из них.
При воспалении слизистой оболочки горла развивается ларингит. Только педиатр может подтвердить или опровергнуть этот диагноз и назначить соответствующее лечение. Ларингит может возникнуть как осложнение стоматологических или ЛОР-заболеваний. Основные симптомы ларингита — это дискомфорт в горле и кашель.
Фарингит — это острая форма ларингита, которая может развиться из-за переохлаждения, вирусных инфекций простуды и гриппа или грибка кандида. У ребенка с фарингитом наблюдается першение в горле, сухой кашель, а голос может стать хриплым или вовсе пропасть.
Ложный круп — это еще одна форма острого ларингита. У детей в возрасте от 3 до 5 лет его основные симптомы включают затрудненное дыхание, покраснение горла и спазмы голосовых связок.
Удушье чаще всего возникает во сне. Ребенок может проснуться в поту, с синими губами и затрудненным дыханием, громко кашляя. Приступ длится около 5-7 минут, но родителям следует вызвать скорую помощь и отвезти малыша в больницу.
Если лечение начато слишком поздно, инфекция может распространиться дальше по гортани, что приведет к осложнениям. Организм детей в возрасте 3-5 лет не способен самостоятельно справиться с болезнью, поэтому важно обратиться к участковому педиатру.
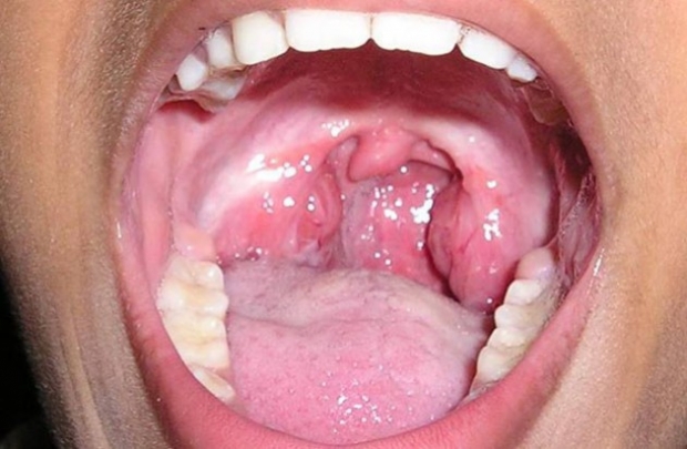
Тонзиллит (или ангина) возникает при воспалении миндалин и слизистой зева. У детей 3-5 лет тонзиллит часто вызывается стрептококками или другими бактериями. Многие родители ошибочно полагают, что сильная боль в горле обязательно означает ангину. Подтвердить диагноз можно только с помощью анализа крови.
Инкубационный период тонзиллита составляет от трех до 96 часов. После этого у ребенка могут появиться следующие симптомы:
• высокая температура (до 39 °C);
• белый налет на миндалинах;
• озноб;
• боль в горле;
• затрудненное глотание слюны;
• отсутствие аппетита;
• беспокойное поведение;
• плаксивость.
Хронический тонзиллит вызывается инфекцией, попадающей на небные миндалины. Если не начать лечение вовремя, это может привести к осложнениям, затрагивающим почки, сердце и суставы. Ребенок с хроническим тонзиллитом жалуется на боль и сухость в горле, трудности при глотании и неприятный привкус во рту. Дети в возрасте 3-5 лет, страдающие от этого заболевания, быстро утомляются, становятся капризными и вялыми.
Боль в горле у детей от 3 до 5 лет также может быть вызвана дифтерией гортани. Заражение происходит через дифтерийную палочку, которая вызывает отек слизистой горла и спазмы мышц гортани. Чаще всего это заболевание встречается у детей старше трех лет. У них могут наблюдаться высокая температура, кашель, болезненные ощущения в горле и хриплый голос. Это состояние может длиться от трех часов до четырех дней, после чего заболевание переходит во вторую фазу. Ребенок начинает тяжело и шумно дышать, обильно потеет, его кожа может приобретать синий оттенок, пульс учащается, возможны спазмы в мышцах гортани. Поведение малыша становится сонливым и заторможенным. В особенно тяжелых случаях может наступить летальный исход от удушья.
Врачи рекомендуют родителям не паниковать, если у ребёнка в возрасте от 3 до 5 лет возникли проблемы с горлом. Первым шагом должно стать обращение к педиатру для точной диагностики. Важно помнить, что лечение зависит от причины заболевания: вирусной или бактериальной инфекции. В случае вируса врачи советуют использовать обильное питьё, полоскания солевым раствором и увлажнение воздуха в помещении. Если же причиной является бактериальная инфекция, может потребоваться назначение антибиотиков. Также полезны мягкие продукты, которые не раздражают горло, и теплые напитки. Важно следить за состоянием ребёнка и при ухудшении симптомов незамедлительно обратиться к врачу.
https://youtube.com/watch?v=hTk7tnKq6f8
Лечение больного горла у детей 3-5 лет
Отечественные педиатры единодушны в том, что при лечении красного горла у детей в возрасте 3-5 лет следует придерживаться определенных рекомендаций:
• Обеспечьте ребенку обильное теплое питье, например, чай с лимоном или малиной, морс, кисель и другие напитки;
• Поддерживайте высокую влажность в помещении, что поможет облегчить дискомфорт при першении в горле;
• Регулярно полощите горло;
• Используйте компрессы;
• Ограничьте разговоры, чтобы не нагружать голосовые связки;
• Предлагайте мягкую и неострую пищу.
Кроме того, педиатр может назначить медикаменты, такие как спреи, ингаляторы, леденцы или аэрозоли для облегчения боли в горле. Если заболевание имеет инфекционную природу, врач может прописать антибиотики.
При лечении тонзиллита у детей в возрасте 3-5 лет применяются антибиотики местного действия. Эти препараты менее агрессивны и реже вызывают побочные эффекты. Для увлажнения горла ребенку следует чаще предлагать теплые напитки и полоскать рот. Не рекомендуется давать твердую пищу, использовать согревающие компрессы и заниматься активными играми. Обычно через 3-5 дней лечения миндалины очищаются от налета. Важно начать лечение вовремя, иначе тонзиллит может стать хроническим, что в свою очередь может потребовать хирургического вмешательства.
Хронический тонзиллит у детей в возрасте 3-5 лет лечится полным курсом антибиотиков. Однако такая терапия не всегда дает желаемый результат, так как миндалины могут продолжать сохранять хроническое воспаление и не восстанавливать свои функции. В таких случаях врач может рекомендовать оперативное удаление миндалин. В дальнейшем дети, перенесшие такую операцию, менее подвержены заболеваниям, так как у них отсутствует инфицированный участок.
Лечение дифтерии гортани требует госпитализации в инфекционное отделение, где пациент проходит курс терапии с использованием антитоксической сыворотки, вводимой внутримышечно.
Использование ингаляторов при боли в горле является еще одним эффективным методом лечения для детей в возрасте 3-5 лет. Ингаляции помогают улучшить общее состояние маленького пациента и уменьшают воспаление.
| Симптом | Рекомендации | Когда обратиться к врачу |
|---|---|---|
| Боль в горле, покраснение | Теплое питье (вода, чай с лимоном/медом), полоскания (солевой раствор, отвар ромашки), леденцы от боли в горле (для детей старше 3 лет), увлажнитель воздуха. | Высокая температура (выше 38.5°C), затрудненное глотание, сыпь, увеличение лимфоузлов, отсутствие улучшения в течение 2-3 дней. |
| Кашель (сухой/влажный) | Обильное теплое питье, увлажнитель воздуха, проветривание комнаты, ингаляции (с физраствором, по назначению врача), сиропы от кашля (по возрасту и типу кашля, после консультации с врачом). | Затрудненное дыхание, одышка, свистящее дыхание, сильный приступообразный кашель, кашель с мокротой необычного цвета, кашель более 5-7 дней. |
| Насморк, заложенность носа | Промывание носа солевым раствором, увлажнение воздуха, проветривание, сосудосуживающие капли (строго по назначению врача и не более 3-5 дней). | Затрудненное дыхание через нос, гнойные выделения из носа, боль в области пазух, высокая температура, отсутствие улучшения в течение 5-7 дней. |
| Осиплость голоса | Голосовой покой (меньше говорить), теплое питье, увлажнитель воздуха. | Полная потеря голоса, затрудненное дыхание, осиплость голоса более 3-5 дней. |
| Общее недомогание, слабость | Постельный режим, обильное теплое питье, легкая пища. | Высокая температура, отказ от еды и питья, сильная слабость, вялость, сонливость, необычное поведение. |
Распространенные лекарства для лечения горла у детей 3-5 лет
Гексорал – это антисептическое и обезболивающее средство с обволакивающим эффектом. Его используют для терапии тонзиллита, фарингита и других заболеваний гортани. Препарат доступен в двух формах: спрей и раствор для полоскания.
Тантум Верде – противовоспалительное средство, которое также обладает жаропонижающим и обезболивающим эффектом. Его назначают при фарингите, ларингите, ангине и хроническом тонзиллите. Препарат выпускается в виде леденцов для детей, раствора для полоскания и спрея для орошения.
Люголь – это антисептик местного действия, который доступен в форме раствора и спрея. Его применяют при ангинах, хронических тонзиллитах и других заболеваниях.
Лизобакт – таблетки для рассасывания с антисептическим действием. Они используются для лечения инфекционных заболеваний гортани и полости рта.
Ротокан – это раствор для полоскания, который назначается при инфекционных заболеваниях. Перед использованием его необходимо развести в стакане теплой воды.
Хлорофиллипт – антисептический препарат на натуральной основе. Он доступен в виде раствора на масляной или спиртовой основе, а также в таблетках и спреях для орошения горла. Препарат используется для лечения заболеваний, вызванных стафилококками.
Каждому родителю следует помнить, что самолечение может привести к негативным последствиям. Поэтому не стоит рисковать здоровьем ребенка. Использовать те или иные лекарства следует только по рекомендации врача.
https://youtube.com/watch?v=yZIFs5w5EA8
Народная медицина и лечение больного горла у детей от 3 до 5 лет
Что делать, если у ребенка болит горло, и как ускорить его выздоровление? В дополнение к медикаментозной терапии можно использовать народные средства. Однако перед этим важно проконсультироваться с педиатром, чтобы убедиться, что у ребенка нет противопоказаний к тем или иным методам лечения воспаленного горла.
С трехлетнего возраста можно применять согревающий компресс. Для его приготовления смешивают 1 чайную ложку столового уксуса с полулитром воды или используют водку и камфорное масло в равных пропорциях. Полученный раствор подогревают на медленном огне до температуры 38° С. В теплую жидкость погружают натуральную ткань и накладывают ее на шею.
Для полоскания горла можно сделать содовый или морской раствор. Для содового раствора в стакане воды растворяют 1 чайную ложку соды. Для морского раствора в стакане воды добавляют несколько капель йода и 1 чайную ложку морской соли.
Улучшить кровообращение в горле можно следующим образом: на тарелке разместить малиновое или смородиновое варенье и предложить ребенку его слизать. Если варенья нет, его можно заменить медом.
Еще один способ ускорить выздоровление – это поза из йоги, известная как «Лев». Суть упражнения заключается в том, чтобы высунуть язык как можно дальше и попытаться дотянуться им до подбородка. Рекомендуется выполнять это упражнение по пять раз в день.
Если ваш ребенок заболел, важно своевременно обратиться к врачу и начать лечение. Комплексный подход, включающий медикаментозные препараты и народные методы, поможет ускорить процесс выздоровления.
Профилактика заболеваний горла у детей 3-5 лет
Профилактика заболеваний горла у детей в возрасте от 3 до 5 лет играет ключевую роль в поддержании их здоровья и снижении риска возникновения острых респираторных инфекций. В этом возрасте дети часто подвержены простудам и инфекциям, так как их иммунная система еще формируется. Рассмотрим основные меры профилактики, которые помогут защитить горло вашего ребенка.
https://youtube.com/watch?v=tWDcxHsweFo
1. Укрепление иммунной системы
Одним из самых эффективных способов профилактики заболеваний горла является укрепление иммунной системы. Для этого важно обеспечить ребенку полноценное питание, богатое витаминами и минералами. Включайте в рацион свежие фрукты и овощи, молочные продукты, нежирное мясо и рыбу. Также стоит обратить внимание на достаточное количество жидкости, чтобы избежать обезвоживания и поддерживать слизистые оболочки горла в оптимальном состоянии.
2. Соблюдение гигиенических норм
Гигиена играет важную роль в профилактике инфекций. Обучите ребенка мыть руки с мылом перед едой и после посещения туалета. Также важно избегать контакта с больными детьми и не делиться личными вещами, такими как полотенца или посуда. Регулярная уборка и проветривание помещений помогут снизить концентрацию вирусов и бактерий в воздухе.
3. Умеренные физические нагрузки и активный образ жизни
Физическая активность способствует укреплению иммунной системы. Привлекайте ребенка к активным играм на свежем воздухе, занятиям спортом или просто прогулкам. Однако важно следить за тем, чтобы ребенок не переохлаждался, особенно в холодное время года. Одевайте его по погоде и избегайте длительного пребывания на улице в сильный мороз.
4. Увлажнение воздуха
Сухой воздух в помещениях может негативно сказаться на состоянии горла ребенка. Используйте увлажнители воздуха, особенно в отопительный сезон, чтобы поддерживать оптимальный уровень влажности. Это поможет предотвратить пересыхание слизистых оболочек и снизит риск возникновения воспалительных процессов.
5. Вакцинация
Не забывайте о вакцинации. Прививки помогают защитить детей от многих инфекционных заболеваний, которые могут вызвать воспаление горла. Обсудите с педиатром график вакцинации и убедитесь, что ваш ребенок получает все необходимые прививки в срок.
6. Правильное дыхание
Научите ребенка дышать через нос, а не через рот. Дыхание через нос помогает увлажнять и очищать воздух, что снижает риск раздражения горла. Объясните ребенку, что при простудах и аллергиях важно избегать дыхания холодным или загрязненным воздухом.
Следуя этим рекомендациям, вы сможете значительно снизить риск заболеваний горла у вашего ребенка и обеспечить ему крепкое здоровье. Помните, что профилактика всегда проще и эффективнее, чем лечение, поэтому уделяйте внимание мерам предосторожности и заботьтесь о здоровье вашего малыша.
Когда обращаться к врачу: признаки серьезной проблемы
Когда речь идет о здоровье ребенка, особенно в возрасте от 3 до 5 лет, важно быть внимательным к любым изменениям в его состоянии. Горло может болеть по различным причинам, и некоторые из них могут требовать немедленного вмешательства специалиста. Рассмотрим признаки, которые могут указывать на серьезные проблемы и необходимость обращения к врачу.
1. Высокая температура: Если у ребенка наблюдается температура выше 38°C, которая не снижается при использовании жаропонижающих средств, это может свидетельствовать о наличии инфекции. В таких случаях важно обратиться к врачу для диагностики и назначения лечения.
2. Затрудненное дыхание: Если ребенок испытывает трудности с дыханием, хрипит или задыхается, это может быть признаком отека горла или других серьезных заболеваний. Необходимо немедленно вызвать скорую помощь или обратиться в медицинское учреждение.
3. Длительная боль в горле: Если боль в горле сохраняется более 3-5 дней и не уменьшается, это может указывать на бактериальную инфекцию, такую как ангина. В этом случае требуется консультация врача для назначения антибиотиков.
4. Наличие налета на миндалинах: Белый или желтый налет на миндалинах может быть признаком стрептококковой инфекции или других заболеваний. Это состояние требует медицинского обследования и, возможно, анализа на наличие бактерий.
5. Отказ от еды и питья: Если ребенок отказывается есть и пить в течение длительного времени из-за боли в горле, это может привести к обезвоживанию. Важно обратиться к врачу, чтобы избежать серьезных последствий.
6. Увеличенные лимфатические узлы: Если у ребенка наблюдается увеличение лимфатических узлов на шее, это может указывать на инфекцию. Важно проконсультироваться с врачом для определения причины и назначения лечения.
7. Сопутствующие симптомы: Если у ребенка наблюдаются другие симптомы, такие как сыпь, рвота, диарея или сильная усталость, это может указывать на более серьезное заболевание, требующее медицинского вмешательства.
В случае появления любого из перечисленных признаков, не стоит откладывать визит к врачу. Раннее обращение за медицинской помощью поможет избежать осложнений и обеспечит вашему ребенку необходимое лечение.
Рекомендации по уходу за ребенком во время болезни
Когда у ребенка от 3 до 5 лет болит горло, важно обеспечить ему правильный уход, чтобы облегчить симптомы и ускорить процесс выздоровления. Вот несколько рекомендаций, которые помогут вам в этом:
1. Обеспечьте комфортные условия
Создайте для ребенка спокойную и уютную атмосферу. Убедитесь, что в комнате, где он находится, достаточно свежего воздуха, но при этом избегайте сквозняков. Температура в помещении должна быть комфортной — около 20-22 градусов Цельсия.
2. Поддерживайте гидратацию
Важно следить за тем, чтобы ребенок пил достаточно жидкости. Предлагайте ему теплые напитки, такие как травяные чаи, компоты или просто теплую воду. Избегайте кислых и газированных напитков, которые могут раздражать горло.
3. Правильное питание
Во время болезни аппетит у ребенка может снижаться, но старайтесь предлагать ему легкую и питательную пищу. Подойдут супы, пюре, каши и йогурты. Избегайте жесткой и острой пищи, которая может дополнительно травмировать горло.
4. Полоскания и ингаляции
Если ребенок уже умеет полоскать горло, можно использовать теплый солевой раствор (1/2 чайной ложки соли на стакан воды) для полоскания. Это поможет уменьшить воспаление и облегчить боль. Ингаляции с использованием небулайзера или паровые ингаляции с добавлением эфирных масел (например, эвкалипта) также могут помочь облегчить дыхание и снять воспаление.
5. Лекарственные средства
При необходимости можно использовать жаропонижающие и обезболивающие средства, такие как парацетамол или ибупрофен, но только после консультации с врачом. Также существуют специальные спреи и пастилки для горла, предназначенные для детей, которые могут помочь облегчить боль.
6. Обратите внимание на симптомы
Следите за состоянием ребенка. Если у него высокая температура, затрудненное дыхание, сильная боль в горле или другие тревожные симптомы, обязательно обратитесь к врачу. Важно не заниматься самолечением и не игнорировать ухудшение состояния.
7. Уделяйте внимание эмоциональному состоянию
Болезнь может вызывать у ребенка страх и беспокойство. Постарайтесь поддерживать его морально, читайте книги, смотрите мультфильмы или играйте в спокойные игры. Ваша забота и внимание помогут ребенку быстрее восстановиться.
Следуя этим рекомендациям, вы сможете облегчить состояние вашего ребенка и помочь ему быстрее выздороветь. Однако не забывайте, что при любых сомнениях лучше проконсультироваться с врачом.


