Увеличенные миндалины у детей — распространенная проблема для родителей. Это состояние может вызывать дискомфорт, затруднять дыхание и глотание, а также приводить к частым инфекциям. В статье рассмотрим причины увеличения миндалин, симптомы и методы лечения, чтобы помочь родителям справиться с этой ситуацией и обеспечить здоровье ребенка.
Что такое миндалины
Миндалины представляют собой скопления лимфоидной ткани, находящиеся между небными дужками в области носоглотки и у основания языка. Эти образования играют важную роль в иммунной системе нашего организма. Их основная задача заключается в защите и участии в процессе кроветворения. Миндалины выступают в качестве первого защитного барьера против инфекций (вирусов, бактерий, грибков), вырабатывая специальные антитела, которые препятствуют их закреплению и размножению на слизистых оболочках верхних дыхательных путей.
Врачи отмечают, что увеличенные миндалины у детей могут быть как нормальным вариантом, так и признаком серьезных заболеваний. Часто это состояние связано с частыми инфекциями верхних дыхательных путей, такими как ангина или фарингит. В результате хронического воспаления миндалины могут увеличиваться, что приводит к затруднению дыхания и глотания. Специалисты подчеркивают важность своевременной диагностики и наблюдения за состоянием ребенка. В некоторых случаях может потребоваться хирургическое вмешательство, особенно если увеличенные миндалины вызывают осложнения, такие как апноэ во сне. Врачи рекомендуют родителям не игнорировать симптомы и обращаться за медицинской помощью при первых признаках дискомфорта у ребенка.
https://youtube.com/watch?v=CYmfhrwa9A0
Виды миндалин
Миндалины подразделяются на два типа: парные и непарные.
Парные миндалины включают в себя:
• Нёбные миндалины (расположены в области перехода ротовой полости в глотку, за небными дужками);
• Трубные миндалины (находятся в зоне слуховой трубы).
Непарные миндалины представлены:
• Глоточной миндалиной (находится в задней части носоглотки);
• Язычной миндалиной (расположена под языком).
Нёбные миндалины симметрично расположены с обеих сторон гортани и имеют овальную форму, с 10-20 небольшими канальцами (лакунами), проникающими внутрь миндалины. В сочетании с другими лимфоидными структурами в носоглотке они формируют лимфоидное или лимфоэпителиальное кольцо Пирогова-Вальдейера, которое служит защитой организма от вирусов и инфекций. Это кольцо начинает формироваться в первый год жизни ребенка и постепенно рассасывается в период полового созревания. Увеличение небных миндалин у детей часто сопровождается также увеличением глоточного отростка.
| Признак | Описание | Возможные причины |
|---|---|---|
| Размер | Миндалины увеличены, могут быть видны невооруженным глазом при осмотре горла. | Частые простуды, хронический тонзиллит, аллергии, аденоидит. |
| Цвет | Могут быть красными, отечными, иногда с налетом. | Острое воспаление (ангина), бактериальная или вирусная инфекция. |
| Симптомы | Затрудненное дыхание (особенно ночью), храп, частые простуды, боль в горле, затрудненное глотание, гнусавость голоса, снижение слуха. | Хроническое воспаление, обструкция дыхательных путей, нарушение функции евстахиевой трубы. |
| Частота заболеваний | Ребенок часто болеет ангинами, ОРВИ, отитами. | Снижение местного иммунитета, постоянный источник инфекции. |
| Общее состояние | Утомляемость, снижение аппетита, раздражительность, отставание в развитии (в тяжелых случаях). | Хроническая интоксикация, нарушение сна, гипоксия. |
| Осложнения | Хронический тонзиллит, ревматизм, гломерулонефрит, абсцессы, нарушение прикуса. | Длительное отсутствие лечения, распространение инфекции. |
Увеличение миндалин у ребенка
Миндалины у детей воспаляются и увеличиваются гораздо чаще, чем у взрослых. Наиболее подвержены этому процессу дети в возрасте от 5 до 10 лет.
В основном увеличиваются небные миндалины, известные также как гланды, а также глоточная миндалина, или аденоиды. Увеличение небных миндалин при воспалении у детей диагностируется как острый или хронический тонзиллит. Острый тонзиллит в обиходе называют ангиной.
У новорожденных и детей младшего возраста небные миндалины не видны, они начинают увеличиваться после частых простуд и с расширением круга общения ребенка, например, при поступлении в детский сад, когда возрастает инфекционная нагрузка.
Частые и длительные простуды, перенесенные ангины, аденоидиты и синуситы ослабляют и без того слабую иммунную систему ребенка. Миндалины, являясь первой линией защиты, не справляются с увеличенной инфекционной нагрузкой, что приводит к их компенсаторному увеличению. Чем чаще воспаляются гланды, тем больше они становятся.
Увеличение небных миндалин происходит за счет роста количества клеток лимфоидной ткани, включая избыточное количество незрелых Т-лимфоцитов.
Основными возбудителями инфекции в миндалинах являются патогенные стафилококки и стрептококки. При отсутствии должного лечения процесс может перейти в хроническую форму, и тогда миндалины становятся источником инфекции, вместо того чтобы защищать организм. Хронический тонзиллит может привести к общему ухудшению здоровья ребенка: снижается иммунитет, повышается утомляемость, ухудшаются умственные способности, обостряются другие заболевания.
Если устранить причины гипертрофии небных миндалин, то после 10 лет можно обратить это состояние, так как в этом возрасте начинается инволюция миндалин и рассасывание лимфоэпителиального кольца. Врачи рекомендуют до достижения этого возраста лечить миндалины консервативными методами, если нет серьезных осложнений.
https://youtube.com/watch?v=yTxgGqnndIg
Фото
Код по МКБ-10
J35.1 Увеличение миндалин
https://youtube.com/watch?v=h7vVgDHSRE8
Причины увеличения миндалин у детей
Причины увеличения небных миндалин у детей можно классифицировать на три основные группы:
-
гипертрофия небных миндалин,
-
воспалительные процессы в небных миндалинах,
-
гипертрофически-аллергическая форма.
К факторам, способствующим увеличению миндалин у детей, относятся:
• эндокринные расстройства и нарушения;
• частые и затяжные респираторные инфекции (ОРВИ, грипп);
• переохлаждение организма в целом или самих миндалин, особенно когда ребенок дышит через рот, например, из-за увеличенных аденоидов, особенно в холодное время года;
• инфекционные заболевания в детском возрасте;
• хронические ангины;
• недостаточное питание (низкое содержание белков и витаминов при избытке углеводов в рационе);
• заболевания эндокринной системы, такие как недостаток гормонов надпочечников или длительное воздействие малых доз радиации;
• лимфатико-гипопластический диатез;
• увеличение тимуса;
• серьезные соматические болезни;
• нарушения носового дыхания (полипы, искривление носовой перегородки, аденоиды);
• анемия;
• врожденные аномалии иммунной системы;
• наследственные факторы (лимфатикогипопластическая аномалия конституции);
• аллергические реакции;
• неблагоприятные условия проживания.
Степени увеличения миндалин
Увеличение миндалин делится на три степени в зависимости от того, насколько они заполняют пространство глотки:
• I степень гипертрофии — миндалины выступают на одну треть от расстояния между нёбными дужками и средней линией зева. В этом случае клинические проявления могут отсутствовать, однако иногда дети могут жаловаться на дискомфорт в горле, трудности при глотании, а также на частые и затяжные ОРВИ и простудные болезни, которые могут приводить к осложнениям, таким как отиты, синуситы и ангины.
• II степень гипертрофии — миндалины перекрывают две трети пространства глотки. При данной степени гипертрофии у ребенка могут наблюдаться затруднения при глотании, сон с открытым ртом, храп, нарушения речи, а также частые простуды и ангины.
• III степень гипертрофии — миндалины соприкасаются или даже накладываются друг на друга. При этой степени гипертрофии у ребенка отмечаются: постоянные трудности с глотанием, неразборчивая речь, гнусавый голос, вялость, быстрая утомляемость, головные боли, затрудненное дыхание через нос, постоянное открытие рта, храп и эпизоды апноэ во время сна, снижение слуха, а также затяжные простуды и ангины с образованием гнойных пробок.
Симптомы увеличения миндалин у ребенка
Увеличенные миндалины у детей можно заметить невооруженным глазом. Они представляют собой плотные или мягкие округлые образования, расположенные с обеих сторон за небными дужками. В случае гипертрофической формы миндалины увеличены, но не проявляют признаков воспаления. При воспалении наблюдаются болезненность, покраснение, отечность, а также расширенные лакуны с гнойным содержимым. Гипертрофически-аллергическая форма характеризуется выраженным отеком и покраснением без наличия гнойных пробок.
При увеличении (гипертрофии) миндалин у ребенка могут наблюдаться:
-
Затруднения с дыханием и глотанием.
-
Проблемы с речью (речь становится неразборчивой, гнусавой, ребенок может неправильно произносить некоторые согласные звуки).
-
Шумное дыхание.
-
Неспокойный сон с частыми пробуждениями из-за признаков гипоксии мозга (недостаток кислорода).
-
Храп и кашель во время сна.
-
Пересушивание слизистой оболочки рта.
-
Приступы обструктивного апноэ (временная остановка дыхания, вызванная расслаблением мышц глотки).
-
Снижение остроты слуха из-за нарушения проходимости евстахиевых труб при частых экссудативных средних отитах.
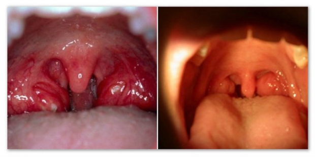
воспаленные миндалины слева, гипертрофия миндалин — справа
При воспалении миндалин у детей можно наблюдать:
-
Красное, раздраженное горло.
-
Повышение температуры тела.
-
Болезненность и налет на миндалинах.
-
Слабость и апатию.
-
Отсутствие аппетита.
-
Неприятный запах изо рта при выделении гнойных пробок.
-
Увеличение подчелюстных и околоушных лимфоузлов.
Осложнения
При частых воспалениях миндалин, воспалительный процесс может перейти в хроническую стадию, что делает сами миндалины источником инфекции. Инфекция может попасть в кровоток и распространиться по всему организму. В таких случаях могут возникнуть следующие осложнения:
-
заболевания сердечно-сосудистой системы (гипертрофия правого желудочка, миокардиты);
-
нарушения в нервной системе (тики, недержание мочи);
-
заболевания суставов;
-
потеря веса у ребенка;
-
анемия;
-
задержка психического и физического развития.
При второй и третьей степени гипертрофии миндалин у детей может возникнуть неправильный прикус и недоразвитие грудной клетки из-за проблем с дыханием.
Особое внимание следует уделить ситуации, когда у ребенка увеличивается одна миндалина. Это может указывать на наличие опухоли – лимфомы. В таком случае необходима консультация онколога.
Диагностика миндалин
План диагностики ребенка с увеличенными миндалинами включает в себя:
1. Осмотр отоларинголога (ЛОР)
Прежде всего, необходимо обратиться к отоларингологу в период, когда нет обострений, то есть когда миндалины находятся в спокойном состоянии. Специалист проведет осмотр с использованием гортанного зеркала, ригидного эндоскопа и фиброэндоскопа, чтобы определить степень увеличения миндалин. Также врач соберет анамнез, выяснив, как часто ребенок болеет, сколько ангин он перенес за год, какие осложнения имели место, а также наличие хронических заболеваний и другие важные моменты.
2. Лабораторные анализы
Необходимо пройти следующие анализы и исследования:
• Общий анализ крови и мочи.
• Биохимический анализ крови.
• Посев слизи из миндалин на микрофлору и определение чувствительности к антибиотикам.
• Оценка функции небных миндалин.
• Боковая рентгенография носоглотки или ультразвуковое исследование.
На основе осмотра и результатов анализов врач сможет установить диагноз и назначить необходимое лечение.
Лечение миндалин у детей
План лечения при увеличении миндалин у детей
Немедикаментозное лечение
Немедикаментозные методы терапии включают в себя различные физиотерапевтические процедуры. К ним относятся: ультразвуковая обработка нёбных миндалин с помощью аппарата «ЛОР-3», ультрафиолетовое облучение зева, озонотерапия, полоскания горла с использованием морской и минеральной воды, травяных отваров, а также эндофарингеальное применение лазера; УВЧ и СВЧ-терапия на подчелюстные лимфатические узлы, посещение соляной пещеры и санаторно-курортное лечение.
Медикаментозное лечение
В первую очередь для полоскания горла используются вяжущие и прижигающие растворы, такие как раствор танина (1:1000) и антисептики. Также рекомендуется смазывать миндалины 2-5% раствором нитрата серебра. Врач может назначить лимфотропные препараты, такие как Умкалор, Тонзилгон, Лимфомиозот и Тонзилотрен. Данная терапия является актуальной при увеличении миндалин первой и второй степени.
При воспалении миндалин применяются антибактериальные средства как местного, так и системного действия. Для детей предпочтительными являются антибиотики, такие как азитромицин, эритромицин и сумамед. Выбор препарата осуществляется врачом на основании результатов мазков на чувствительность к антибиотикам. Если необходимо начать лечение до получения результатов анализа, то назначается антибиотик широкого спектра действия.
Хирургическое лечение
При третьей степени гипертрофии небных миндалин принимается решение о проведении тонзиллотомии, что подразумевает удаление увеличенной части миндалин. Часто данная операция у детей выполняется в сочетании с аденотомией по методу Матье, при которой удаляется значительно увеличенная глоточная миндалина, затрудняющая носовое дыхание.
После удаления миндалин у ребенка восстанавливается возможность свободного дыхания, глотания, а также речь становится более четкой.
Полное удаление миндалин (тонзилэктомия) у детей в настоящее время осуществляется крайне редко, только в случаях хронических перитонзиллярных абсцессов. Это связано с тем, что полное удаление миндалин нарушает целостность лимфоэпителиального кольца Пирогова-Вальдейера, что может привести к снижению защитных функций организма.
Операция по удалению миндалин у детей проводится под общим наркозом или местным обезболиванием. Выбор метода анестезии определяется врачом и зависит от возраста, психоэмоционального состояния ребенка и наличия сопутствующих заболеваний.
Промывание лакун миндалин
Когда в лакунах миндалин образуются кавернозные пробки, их удаление осуществляется с помощью промывания шприцем или разжижения и отсасывания с помощью вакуумного аппарата. Данная процедура проводится врачом в условиях поликлиники. Не стоит пытаться самостоятельно выдавливать пробки у ребенка, так как это может привести к повреждению миндалин.
Препараты для полоскания и смазывания миндалин у детей
Танин
Данный раствор имеет концентрацию 1:1000 и используется для полоскания горла, а также для обработки воспаленных миндалин. Препарат не имеет противопоказаний, за исключением возможной аллергической реакции на его компоненты.
Антиформин (Antiforminum)
Данный антисептик с концентрацией 1-3% предназначен для полоскания рта, а также для орошения миндалин и глотки. Он представляет собой желтоватый раствор с характерным запахом хлора. Противопоказаний не существует, за исключением возможных аллергических реакций на составные части препарата. У некоторых людей может возникнуть рвотный рефлекс из-за специфического запаха.
Серебра нитрат (Argentnitras)
Препарат имеет вяжущее действие и применяется для обработки воспалённых миндалин в виде раствора с концентрацией 0,25-2%. Для прижигания рекомендуется использовать раствор с концентрацией 2-10%. Противопоказанием является индивидуальная непереносимость.
Раствор соли и соды
Приготовить этот раствор очень легко. Вам понадобится по 1/2 чайной ложки соли и соды, которые нужно растворить в стакане слегка теплой воды. Попросите ребенка прополоскать рот и горло. Рекомендуется использовать раствор 3-4 раза в день.
Тантум верде
Это нестероидное противовоспалительное средство, обладающее противовоспалительными, антисептическими и местными обезболивающими свойствами. Его не рекомендуется использовать детям младше 3 лет, при повышенной чувствительности к бензидамину или другим составляющим препарата, а также при бронхиальной астме и непереносимости ацетилсалициловой кислоты или других НПВС. Препарат следует применять после приема пищи, распыляя его на миндалины и горло.
Дозировка
-
Для детей в возрасте от 3 до 7 лет рекомендуется принимать по 1 таблетке трижды в день;
-
Для детей от 7 до 12 лет дозировка составляет 1 таблетка четыре раза в день;
-
Для подростков старше 12 лет следует принимать по 2 таблетки 3-4 раза в день.
Продолжительность курса лечения составляет 8 дней.
Гексорал
Данное антисептическое средство обладает противомикробными, противогрибковыми и противовирусными свойствами, а также оказывает легкое обезболивающее действие. Рекомендуется принимать препарат после приема пищи.
Противопоказания
— эрозивно-сквамозные изменения на слизистой оболочке ротовой полости;
— возраст детей до 3 лет;
— высокая чувствительность к ингредиентам препарата.
Йодинол
Данный препарат обладает сильными антимикробными свойствами и оказывает прижигающее действие. Применение противопоказано при наличии индивидуальной непереносимости йода. Он доступен в форме спрея и раствора. Используется для промывания лакун и супратонзиллярных пространств в количестве 4-5 процедур с интервалами 2-3 дня, а также для орошения носоглотки 2-3 раза в неделю на протяжении 2-3 месяцев. Для детей младше 6 лет рекомендуется использовать раствор, который следует наносить на миндалины с помощью ватной палочки 2-3 раза в день. Длительность курса лечения определяется врачом.
Лимфотропные препараты для лечения воспаленных миндалин у детей
Лимфотропные медикаменты имеют возможность накапливаться в зоне воспаления, что позволяет им проявлять противомикробные и противовирусные свойства.
Имудон
Имудон представляет собой поливалентный антигенный комплекс, состоящий из смеси лизатов бактерий, которые чаще всего встречаются в ротовой полости и глотке. Препарат доступен в форме таблеток для рассасывания. Он способствует активации фагоцитоза, увеличивает количество иммунокомпетентных клеток и стимулирует выработку интерферона, лизоцима и секреторного иммуноглобулина А в слюне человека. Противопоказаниями к применению являются возраст до 3 лет и индивидуальная непереносимость компонентов препарата.
Рекомендованная дозировка:
- Для детей от 3 до 14 лет — по 6 таблеток в день с интервалом не менее 2 часов.
Продолжительность курса лечения составляет от 10 до 20 дней.
Лизобакт
Данный антисептик представляет собой средство с комбинированным составом, предназначенное для местного использования. Таблетки рекомендуется медленно рассасывать, не разжевывая, удерживая во рту как можно дольше, подобно леденцу.
Противопоказания:
— наследственная непереносимость лактозы, недостаток лактазы или синдром нарушенного всасывания глюкозы/галактозы;
— возраст детей до 3 лет;
— индивидуальная реакция на составные элементы препарата.
Умкалор
Это растительное противомикробное средство рекомендуется принимать за полчаса до еды, запивая небольшим количеством воды. Продолжительность курса составляет 10 дней. Основное противопоказание – индивидуальная непереносимость компонентов препарата.
Дозировка:
-
Для детей от 1 до 6 лет – по 10 капель трижды в день;
-
Для детей от 6 до 12 лет – по 20 капель трижды в день;
-
Для подростков старше 12 лет – по 20-30 капель трижды в день.
Тонзилгон
Тонзилгон Н представляет собой водно-спиртовой экстракт, который включает в себя такие травы, как тысячелистник, корни алтея, цветы ромашки, листья грецкого ореха, хвощ и лекарственный одуванчик, а также кору дуба. У детей данный препарат чаще всего используется для ингаляций. Прием внутрь раствора разрешен только детям старше 6 лет. Противопоказаниями к применению являются заболевания печени и головного мозга, а также черепно-мозговые травмы.
Лимфомиозот
Гомеопатический препарат, обладающий лимфодренажным, противовоспалительным, противоотечным и иммуномодулирующим эффектом. Рекомендуется принимать по 10 капель трижды в день. Не имеет противопоказаний, за исключением индивидуальной непереносимости.
Лечение увеличенных миндалин народными средствами
Рецепты народной медицины для лечения воспаленных и увеличенных миндалин у детей опираются на использование целебных трав.
Полоскания
Для полоскания горла народная медицина рекомендует применять травы с антисептическими, противовоспалительными, вяжущими и иммуностимулирующими свойствами.
При увеличении миндалин рекомендуется полоскать горло настоями таких трав, как ромашка, шалфей, календула, кора дуба, тысячелистник и зверобой. Можно использовать как отдельные травы, так и их комбинации. Настой готовится в следующих пропорциях: 1 столовая ложка травы на стакан кипятка, после чего ему следует настояться примерно 30 минут. Полоскать горло следует 2-3 раза в день.
Чай с травами
После достижения трехлетнего возраста ребенку можно готовить чай с фитотерапевтическими травами, которые обладают противовоспалительными и укрепляющими свойствами. К числу таких трав относятся зверобой, цветы ромашки, липовый цвет, мать-и-мачеха, календула, чабрец, корень аира, а также листья смородины и малины. Травы завариваются аналогично обычному чаю, который можно употреблять 3-4 раза в день.
Профилактика
Профилактические меры для детей включают в себя следующие рекомендации.
Важно:
• Чистка зубов должна проводиться дважды в день — утром и вечером. Для детей младше 10 лет взрослые должны хотя бы раз в неделю помогать им, особенно уделяя внимание задним зубам.
• После каждого приема пищи ребенку следует полоскать рот чистой водой.
• Ребенок должен активно заниматься физической активностью и спортом.
• Необходимо проводить закаливание организма.
• Следует избегать частых простуд и переохлаждений у ребенка.
• Регулярно проветривайте помещение и выполняйте ежедневную влажную уборку.
• Температура и влажность воздуха в комнате, где находится ребенок, должны быть комфортными, не холодными и не сухими.
• Регулярные осмотры у стоматолога и лечение кариеса являются обязательными.
• Если у ребенка наблюдаются разросшиеся аденоиды, их следует удалить.
• При наличии насморка обязательно закапывайте нос.
• Лечите аллергические реакции у детей.
• При простудах рекомендуется полоскать или орошать горло антисептическими растворами.
Заключение
Увеличенные миндалины у ребенка – это серьезная проблема, которую нельзя оставлять без внимания. Если ваш ребенок часто болеет, быстро утомляется, плохо ест, нечетко говорит или дышит через рот, это сигнал для обращения к отоларингологу. Специалист сможет оценить состояние миндалин и назначить необходимое лечение. Острый или хронический тонзиллит может вызвать серьезные осложнения, затрагивающие сердце и нервную систему.
Роль иммунной системы в увеличении миндалин
Увеличенные миндалины, или аденоиды, представляют собой важный компонент иммунной системы, особенно у детей. Миндалины расположены в задней части горла и играют ключевую роль в защите организма от инфекций. Они содержат лимфоидную ткань, которая помогает распознавать и бороться с патогенами, такими как вирусы и бактерии.
Когда ребенок сталкивается с инфекцией, миндалины активируются и начинают производить антитела, что может привести к их увеличению. Это увеличение является естественной реакцией организма на инфекцию, так как миндалины пытаются справиться с патогенами и предотвратить их дальнейшее распространение. Однако, если инфекция становится хронической или если ребенок часто болеет, миндалины могут оставаться увеличенными на длительное время.
Кроме того, увеличение миндалин может быть связано с аллергическими реакциями. У детей, страдающих от аллергий, миндалины могут реагировать на аллергены, такие как пыльца, пыль или шерсть животных, что также приводит к их увеличению. В таких случаях миндалины становятся не только защитным барьером, но и мишенью для воспалительных процессов, что может усугублять их состояние.
Важно отметить, что увеличение миндалин может вызывать различные симптомы, такие как затрудненное дыхание, храп, частые инфекции горла и уха, а также проблемы с глотанием. В некоторых случаях, особенно если увеличение миндалин приводит к серьезным нарушениям дыхания во сне, может потребоваться медицинское вмешательство.
Таким образом, роль миндалин в иммунной системе ребенка является многогранной. Они не только защищают организм от инфекций, но и могут стать источником проблем, если их увеличение становится хроническим. Понимание этой роли поможет родителям и врачам более эффективно подходить к лечению и профилактике заболеваний, связанных с увеличенными миндалинами.
Влияние окружающей среды на здоровье миндалин
Окружающая среда играет значительную роль в здоровье миндалин у детей. Миндалины, являясь частью лимфатической системы, выполняют важную функцию в защите организма от инфекций. Однако различные факторы окружающей среды могут оказывать как положительное, так и отрицательное влияние на их состояние.
Одним из ключевых факторов является качество воздуха. Загрязнение атмосферы, в частности, высокие уровни пыли, дыма и химических веществ, может приводить к воспалению миндалин. Дети, проживающие в районах с высоким уровнем загрязнения, чаще страдают от респираторных заболеваний, что, в свою очередь, может способствовать увеличению миндалин. Исследования показывают, что дети, подвергающиеся воздействию загрязняющих веществ, чаще обращаются к врачам с жалобами на боли в горле и частые инфекции.
Климатические условия также имеют значение. Влажный и теплый климат может способствовать росту грибков и бактерий, что увеличивает риск инфекций верхних дыхательных путей. В таких условиях миндалины могут увеличиваться в размере в ответ на постоянное воспаление. Напротив, холодный и сухой климат может приводить к раздражению слизистой оболочки горла, что также может способствовать увеличению миндалин.
Питание и образ жизни детей также влияют на здоровье миндалин. Неправильное питание, недостаток витаминов и минералов, особенно витамина C и цинка, может ослабить иммунную систему, что делает детей более восприимчивыми к инфекциям. Употребление большого количества сахара и обработанных продуктов может способствовать воспалительным процессам в организме, включая миндалины.
Кроме того, наличие домашних животных и уровень стресса в семье могут оказывать влияние на здоровье миндалин. Аллергены, такие как шерсть животных и пыльца, могут вызывать аллергические реакции, которые приводят к воспалению миндалин. Стресс, в свою очередь, может ослаблять иммунную систему, что делает детей более уязвимыми к инфекциям.
Таким образом, окружающая среда, в которой растет ребенок, играет важную роль в здоровье его миндалин. Учитывая все эти факторы, родителям следует обращать внимание на условия жизни своих детей и принимать меры для улучшения качества окружающей среды, что может помочь в профилактике заболеваний и поддержании здоровья миндалин.
Советы по уходу за детьми с увеличенными миндалинами
Уход за детьми с увеличенными миндалинами требует особого внимания и заботы, так как это состояние может вызывать различные дискомфорты и осложнения. Вот несколько рекомендаций, которые помогут родителям обеспечить комфорт и здоровье своему ребенку.
1. Регулярные медицинские осмотры: Важно регулярно посещать врача-отоларинголога для контроля состояния миндалин. Специалист сможет оценить степень увеличения, выявить возможные инфекции и назначить необходимое лечение.
2. Обеспечение комфортной атмосферы: Убедитесь, что в комнате ребенка поддерживается оптимальная температура и влажность. Сухой воздух может усугубить симптомы, поэтому использование увлажнителя воздуха может быть полезным.
3. Правильное питание: Обратите внимание на рацион ребенка. Избегайте острых, кислых и слишком горячих блюд, которые могут раздражать горло. Включите в меню мягкие и питательные продукты, такие как супы, пюре и йогурты.
4. Увлажнение: Обеспечьте достаточное количество жидкости. Вода, травяные чаи и компоты помогут предотвратить обезвоживание и облегчат глотание.
5. Лекарственные средства: Если врач назначил лекарства, строго следуйте его рекомендациям. Это могут быть противовоспалительные препараты или антибиотики, если есть подозрение на бактериальную инфекцию.
6. Избегание аллергенов: Если увеличенные миндалины связаны с аллергией, постарайтесь минимизировать контакт ребенка с аллергенами, такими как пыльца, пыль и шерсть животных. Используйте гипоаллергенные средства для уборки и стирки.
7. Обучение ребенка: Объясните ребенку, почему важно беречь горло и избегать переохлаждения. Научите его, как правильно кашлять и чихать, чтобы не распространять инфекции.
8. Поддержка иммунной системы: Убедитесь, что ребенок получает все необходимые витамины и минералы. Витамин C, цинк и пробиотики могут помочь укрепить иммунитет.
9. Ограничение физической активности: Если у ребенка наблюдаются симптомы, такие как боль в горле или затрудненное дыхание, ограничьте физическую активность до полного выздоровления.
10. Психологическая поддержка: Увеличенные миндалины могут вызывать у ребенка дискомфорт и беспокойство. Поддерживайте его эмоционально, объясняя, что это временное состояние, и что с ним можно справиться.
Следуя этим рекомендациям, родители могут значительно облегчить состояние своих детей и помочь им быстрее восстановиться. Однако важно помнить, что каждый случай индивидуален, и консультация с врачом всегда остается приоритетом.






