УЗИ (ультразвуковое исследование) — важный инструмент для наблюдения за развитием беременности, позволяющий родителям увидеть малыша на разных этапах. В статье представлены фото УЗИ по неделям беременности, что поможет понять изменения в ребенке и обсудить ключевые моменты с врачом. Эти изображения визуализируют развитие плода и предоставляют информацию о его здоровье, что делает их незаменимыми для будущих мам и пап.
УЗИ: 1-ая неделя беременности
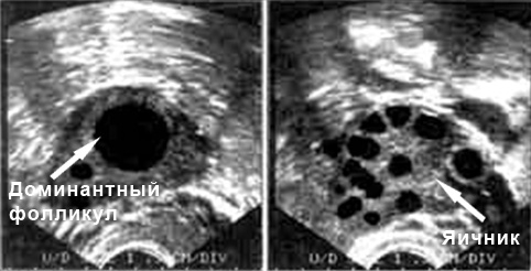
Срок беременности врачи начинают отсчитывать не с момента зачатия, а с первого дня последней менструации. Таким образом, первая неделя беременности на самом деле не является периодом беременности, а представляет собой активную подготовку организма к этому важному этапу. На УЗИ в это время можно заметить, что маточная полость немного увеличена, так как в ней накапливаются менструальная кровь и отмершие клетки эндометрия. Также можно увидеть мелкие антральные фолликулы. В этот период в организме женщины наблюдается естественное снижение уровня гормона эстрогена, что приводит к тому, что фолликулостимулирующий гормон (ФГС) «стимулирует» созревание нескольких фолликулов.
Врачи подчеркивают важность ультразвукового исследования на разных этапах беременности. УЗИ позволяет не только подтвердить факт беременности, но и отслеживать развитие плода, выявлять возможные аномалии и оценивать состояние матери. Специалисты отмечают, что каждое исследование имеет свои особенности в зависимости от срока. На ранних сроках УЗИ помогает увидеть сердцебиение и определить количество эмбрионов. Позже, на более поздних сроках, врачи могут оценить анатомию плода, его размеры и положение в матке. Фотографии, полученные во время УЗИ, становятся важной частью медицинской документации и часто вызывают эмоциональный отклик у родителей. Врачи рекомендуют проходить УЗИ в установленные сроки, чтобы обеспечить здоровье как матери, так и ребенка.
https://youtube.com/watch?v=ijgkCNEMnsQ
УЗИ: 2-ая неделя беременности
На текущем УЗИ будет видно доминантный фолликул, диаметр которого варьируется от 17 до 30 мм. Непосредственно перед овуляцией в фолликуле можно заметить характерный бугорок, где происходит созревание яйцеклетки. В этот период слизистая оболочка матки также утолщается.
| Неделя беременности | Описание УЗИ | Примерное фото УЗИ |
|---|
УЗИ: 3-я неделя беременности
Приходит время овуляции, и яйцеклетка направляется в маточные трубы, где начинает поиски наиболее «подходящего» сперматозоида. В этот момент начинается беременность. Однако ультразвуковое исследование не может зафиксировать зародыша, так как его размеры еще слишком малы. Третья неделя беременности считается критической, поскольку недостаток гормонов может привести к повторному началу менструации, что может «смыть» оплодотворенную яйцеклетку.
https://youtube.com/watch?v=hpJyrV2sRhI
УЗИ: 4-ая неделя беременности
На этом этапе ультразвуковое исследование уже может зафиксировать наличие беременности. Она выглядит как маленький черный кружок, диаметр которого составляет всего несколько миллиметров. Это плодный мешок. На четвертой неделе беременности ультразвуковая диагностика также показывает расширение сосудов матки, что является нормальным явлением.
УЗИ: 5-ая неделя беременности
Теперь будущий малыш выглядит как овал с хвостиком и головой. На этом этапе ультразвуковое исследование уже четко фиксирует его. Врачи начинают называть его эмбрионом. Сердце, а также спинной и головной мозг активно развиваются. УЗИ показывает явные сокращения формирующегося сердца. Однако это еще не то сердце, к которому мы привыкли; на данный момент оно представлено в виде двух сокращающихся каналов, известных как сердечные трубки.
https://youtube.com/watch?v=6dXXAw442gw
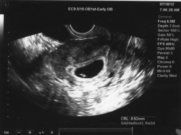
УЗИ: 6-ая неделя беременности
На шестой неделе беременности ультразвуковое исследование позволит увидеть эмбрион, который уже значительно увеличился и теперь сопоставим по размеру с горошиной. Специалист будет измерять его длину от темени до копчика, что поможет точно определить срок беременности и наиболее вероятную дату родов. Размер матки также немного увеличивается. На этом этапе можно подтвердить наличие беременности даже с помощью наружного УЗИ, то есть через живот.
УЗИ: 7-ая неделя беременности
Эмбрион увеличился в размерах в 10 000 раз по сравнению с тем, каким он был в момент зачатия. Сердце продолжает активно развиваться. УЗИ фиксирует частоту сердечных сокращений, которая в норме достигает 160 ударов в минуту. Можно наблюдать, как интенсивно формируются конечности будущего ребенка. В данный момент происходит развитие языка и рта. У эмбриона уже имеются почки, которые выводят мочу, и они состоят из трех частей.
УЗИ: 8-ая неделя беременности
Размер эмбриона составляет около 12-14 миллиметров. Конечности начинают укрепляться и удлиняться. Веки начинают формироваться. Также закладываются уже развитые яичники или яички, в зависимости от пола будущего малыша. Движения эмбриона становятся более заметными.
УЗИ: 9-ая неделя беременности
На данном этапе у эмбриона больше нет хвостика, и он с гордостью называется плодом. На девятой неделе беременности ультразвуковое исследование позволяет измерить толщину плаценты. Пуповина начинает четко проявляться. В это время активно формируются костные и хрящевые ткани. Уши становятся более заметными, а конечности плода уже принимают знакомые нам формы. Однако пальцы все еще соединены перепонками.
УЗИ: 10-ая неделя беременности
Плод продолжает активно развиваться. На ультразвуковом исследовании на девятой неделе его размер примерно соответствует небольшой сливе. В этот период активно формируется костная система. На УЗИ можно наблюдать, как будущий ребенок сгибает и разгибает ручки в локтях. В деснах уже находятся сформировавшиеся зубы.
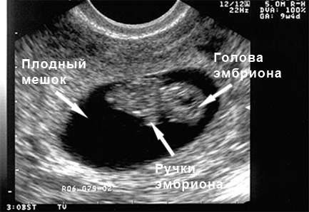
УЗИ: 11-ая неделя беременности
УЗИ демонстрирует плод, у которого размеры головы соответствуют размерам туловища. Это является нормальным явлением. На этой неделе плод увеличился вдвое по сравнению с предыдущей. Теперь пальцы уже не соединены перепонками, и на качественном аппарате их можно будет даже пересчитать. Начинают формироваться радужные оболочки глаз. На голове плода появляются фолликулы волос, а на руках и ногах — ногти. У девочек также развиваются яичники. Уши, нос, небо и язык полностью сформированы.
УЗИ: 12-ая неделя беременности
Пришло время для одного из самых значимых ультразвуковых исследований. На двенадцатой неделе беременности УЗИ становится обязательным этапом диагностики. В ходе обследования помимо измерения размеров плода, проводятся замеры головы, плечевых, локтевых, бедренных, лучевых, большеберцовых и малоберцовых костей. Также оценивается симметрия конечностей и их двигательная активность, а также правильное расположение сердца и желудка. На этом сроке с высокой вероятностью можно выявить возможные пороки сердца. Важно измерить толщину воротниковой зоны, которая в норме не должна превышать 2.5 миллиметров; превышение этого значения может указывать на риск хромосомных аномалий, таких как синдром Дауна. Врач также внимательно изучает носовые кости плода, так как у детей с синдромом Дауна они, как правило, короче. Это связано с тем, что формирование носовых костей при данной патологии завершается значительно позже, чем у здоровых плодов. Таким образом, визуализация носовых костей на УЗИ на двенадцатой неделе является важным диагностическим показателем.
УЗИ: 13-ая неделя беременности
На данном этапе развития плод по размеру напоминает персик. Он продолжает расти, и все его внутренние органы совершенствуются. В этот период активно формируются голосовые связки. Желчный пузырь и печень начинают производить желчь, а поджелудочная железа вырабатывает ключевой гормон — инсулин. Эритроциты образуются в печени, селезенке и костном мозге. Костный мозг также активно производит лейкоциты — белые кровяные клетки, которые играют важную роль в формировании иммунной системы будущего ребенка. На УЗИ, проведенном на 13-й неделе, уже можно заметить волосы на голове плода, хотя они пока еще не имеют пигмента и выглядят белыми, почти прозрачными.
УЗИ: 14-ая неделя беременности
Плод достиг размера, сопоставимого с кулаком взрослого человека. На ультразвуковом исследовании, проведенном на 14-й неделе беременности, можно заметить, что все внутренние органы плода заняли свои окончательные позиции в брюшной полости, и больше не наблюдается выпячивания, как это происходило несколько недель назад. УЗИ уже позволяет различить даже узоры на ладошках малыша. Лицо начинает приобретать более четкие контуры, а длина шеи увеличивается. Плод активно сосет свои пальцы, что свидетельствует о развитии естественного рефлекса.
УЗИ: 15-ая неделя беременности
На этой неделе происходит оценка мышечного слоя матки. В норме он должен быть тонким и равномерным.
Плод начинает все больше напоминать человека: ушные раковины и глаза перемещаются на свои привычные места. Волосы плода начинают получать пигмент, и вскоре станет очевидно, какого они будут цвета после рождения. Ребенок начинает глотать околоплодные воды, что является нормальным процессом. Таким образом, малыш готовится к жизни вне материнского организма.
УЗИ: 16-ая неделя беременности
На данном этапе беременности ультразвуковое исследование проводит измерения плаценты. В настоящее время ее размер составляет около 18 миллиметров. Пуповина уже полностью выполняет свою функцию, обеспечивая плод необходимыми питательными веществами и кислородом. Ребенок начинает проявлять рефлекс икоты. На 16-й неделе беременности можно с уверенностью установить пол будущего малыша.
УЗИ: 17-ая неделя беременности
Пришло время для второго обязательного ультразвукового исследования. С длинных костей плода проводятся измерения. На 17-й неделе аппарат проверяет сердце плода, чтобы окончательно исключить вероятность наличия пороков в развитии этого важнейшего органа. Оцениваются магистральные сосуды, которые выходят из сердца, а также анализируется структура почек.
УЗИ: 18 неделя беременности
На этой неделе ультразвуковое исследование позволяет узнать вес плода. В среднем на восемнадцатой неделе беременности эмбрион весит около 230 граммов. Этот показатель определяется на основе фетометрических данных. Также проводятся замеры окружности живота, головы плода и лобно-затылочной области. В организме плода начинается выработка мекония — отходов его жизнедеятельности.
УЗИ: 19 неделя беременности
В деснах плода начинается процесс формирования постоянных зубов. На УЗИ в этот период четко видны его челюсти. Это имеет большое значение, поскольку их форма и размеры могут дать важную информацию о возможных хромосомных аномалиях. Плод активно использует пальцы, хотя они еще не полностью развиты.
УЗИ: 20 неделя беременности
Плод на данном этапе развития достигает веса 400 граммов и длины около 20 сантиметров. У мальчиков в это время начинается процесс опускания яичек в мошонку, а у девочек уже образуются первичные яйцеклетки. На ультразвуковом исследовании можно заметить, как малыш зевает. У него уже формируется режим дня, схожий с режимом новорожденного.
УЗИ: 21 неделя беременности
На этой неделе продолжается измерение тех же фетометрических показателей, что и на 20-й неделе беременности. На ультразвуковом исследовании можно заметить, что ноги плода стали длиннее. Это приводит к более гармоничным пропорциям его тела. В данный момент проводятся измерения всех внутренних структур плода.
УЗИ: 22 неделя беременности
Исследуются ключевые структуры головного мозга плода. В обязательном порядке проводится анализ мозжечка. Нервная система плода практически завершила свой процесс формирования. Оценивается целостность спинного мозга и позвоночника в общем. Будущий ребенок уже хорошо различает время суток.
УЗИ: 23 неделя беременности
На этом этапе беременности ультразвуковое исследование позволяет определить вес плода, который обычно составляет не менее 500 граммов! Проводятся измерения всех костей ребенка. Также можно заметить, что под кожей начинает образовываться жировая прослойка. Если в данный момент начнется родовая активность, это уже не будет выкидышем, а настоящими родами, и малыша можно будет принимать.
УЗИ: 24 неделя беременности
Оценивается структура плаценты. Здоровая плацента имеет однородную текстуру. При ультразвуковом исследовании анализируют артериальный кровоток в пуповине и проверяют состояние пупочной артерии. Также устанавливается степень зрелости плаценты. Вес плода превышает 600 граммов.
УЗИ: 25 неделя беременности
На этой неделе при ультразвуковом исследовании особое внимание уделяется околоплодным водам и их объему. Специалисты измеряют длину всех костей малыша. Позвоночник уже полностью развит. Ноздри ребенка открыты, в то время как еще неделю назад они были закрыты. Малыш активно реагирует на знакомые голоса, проявляя движения.
УЗИ: 26 неделя беременности
УЗИ позволяет изучить анатомию мозга плода и его лицевых структур. Вес плода составляет примерно 900 граммов. Устройство фиксирует, что глаза ребенка открыты. Тем не менее, его зрение еще не полностью развито, и он способен различать только свет и тень. Радужка глаз пока не имеет пигментации.
УЗИ: 27 неделя беременности
На данной неделе беременности проводится ультразвуковое исследование, которое позволяет оценить рост плода и его увеличение в весе. Также анализируется симметрия конечностей, чтобы выявить возможные отклонения в развитии и строении плода.
УЗИ: 28 неделя беременности
Начался третий и заключительный триместр беременности. Вес плода уже превышает один килограмм. На ультразвуковом исследовании специалисты оценивают его размеры и положение в матке. С этой недели малыш начинает занимать ту позицию, из которой, скорее всего, будет рожден. Тем не менее, если на УЗИ врач сообщил, что ребенок находится в неправильном положении, не стоит паниковать — в матке все еще достаточно пространства, чтобы он мог изменить свою ориентацию.
УЗИ: 29 неделя беременности
Обследование позволяет определить массу тела плода. На данном этапе считается, что его вес составляет примерно половину от того, что он будет иметь после рождения. Костный мозг активно производит эритроциты, а все кости малыша уже полностью развиты.
УЗИ: 30 неделя беременности
Диафрагма малыша начинает сокращаться, подготавливаясь к жизни вне утробы матери. Беременная женщина ощущает эти движения. На данном этапе УЗИ позволяет оценить объем околоплодных вод, а также размеры и вес ребенка, который уже может достигать полутора килограммов.
УЗИ: 31 неделя беременности
На этой неделе необходимо провести УЗИ, чтобы убедиться в правильных темпах развития малыша. В ходе процедуры будет выполнена фетометрия костей и структур плода. Это идеальный момент для оценки состояния и развития почек.
УЗИ: 32 неделя беременности
Исследуется кровообращение в пуповинных артериях. Если будут обнаружены отклонения от нормальных значений, беременной женщине сразу же проведут допплерометрию, которая включает анализ всех артерий матки, а также артерий головного мозга ребенка и его аорты.
УЗИ: 33 недели беременности
На данном этапе ультразвуковое исследование демонстрирует уровень зрелости легких плода. В большинстве случаев легкие ребенка уже готовы к самостоятельному существованию вне материнского организма, однако оптимально, если он проведет еще некоторое время в утробе. Печень начинает запасать железо (гемоглобин), которое будет крайне важно для малыша после его появления на свет.
УЗИ: 34 неделя беременности
Продолжается мониторинг роста и развития малыша. На ультразвуковом исследовании видно, что ребенок стал заметно крупнее и сильнее. Кости продолжают активно накапливать кальций, что делает их более прочными.
УЗИ: 35 неделя беременности
Хотя малыш уже готов к успешному рождению, его мозг продолжает активно развиваться. На ультразвуковом исследовании можно увидеть характерные вкрапления в костях ребенка, известные как ядра окостенения. На этом этапе беременности ребенок, как правило, занимает свое окончательное положение.
УЗИ: 36 неделя беременности
На ультразвуковом исследовании врач анализирует расположение и размеры головки малыша. Скорее всего, она располагается в нижней части матки. Жировая прослойка под кожей продолжает увеличиваться.
УЗИ: 37 неделя беременности
Определяется объем околоплодных вод в маточной полости. Кроме того, с помощью ультразвукового исследования проводится оценка работы всех внутренних органов малыша. Ребенок активно набирает вес.
УЗИ: 38 неделя беременности
Теперь плод считается доношенным. С началом этой недели можно не беспокоиться о здоровье малыша. Основная задача УЗИ на данном этапе беременности — оценить зрелость плаценты. Также проводятся измерения окружности головы и грудной клетки ребенка. В норме эти показатели должны быть равны по диаметру.
УЗИ: 39 неделя беременности
Ультразвуковое исследование (УЗИ) позволяет оценить состояние пуповины, измерить ее длину и проверить, нет ли у малыша обвития. Также повторно анализируется зрелость плаценты.
УЗИ: 40 неделя беременности
Это завершающая неделя беременности, но некоторые женщины могут родить немного позже установленного срока. Именно в этот период проводится ультразвуковое исследование, которое позволяет оценить количество околоплодных вод, положение пуповины и массу плода. По статистическим данным, более 40% женщин рожают именно до этой недели.
Фото УЗИ на 40 неделе беременности
Ультразвуковое исследование на 41 и 42 неделях беременности также анализирует те же параметры, что и на 40 неделе.
Безусловно, каждая будущая мама стремится получить полное представление о развитии своего малыша. Тем не менее, при нормальном течении беременности достаточно пройти два обязательных УЗИ в первом и втором триместрах, а также, возможно, одно в самом начале для подтверждения наличия беременности в матке.
УЗИ: 41 неделя беременности
На 41 неделе беременности ультразвуковое исследование (УЗИ) может быть проведено для оценки состояния плода и определения готовности женщины к родам. В этот период важно внимательно следить за состоянием как матери, так и ребенка, так как превышение срока беременности может привести к различным осложнениям.
Во время УЗИ на 41 неделе врач будет обращать внимание на следующие аспекты:
- Размеры плода: УЗИ позволяет измерить рост и вес ребенка, что помогает определить, не является ли он слишком большим или слишком маленьким для данного срока. Обычно на 41 неделе вес плода составляет от 3,2 до 4,5 кг.
- Количество амниотической жидкости: Врач проверит уровень амниотической жидкости, так как ее недостаток или избыток могут указывать на проблемы с беременностью. Нормальный объем жидкости важен для здоровья плода.
- Состояние плаценты: УЗИ позволяет оценить состояние плаценты, ее расположение и степень зрелости. Плацента должна быть достаточно зрелой, чтобы обеспечить плоду необходимые питательные вещества и кислород.
- Движения плода: Врач также будет оценивать активность плода. На этом сроке ребенок должен активно двигаться, и его движения должны быть хорошо заметны.
- Состояние шейки матки: УЗИ может помочь оценить состояние шейки матки, ее длину и степень раскрытия, что важно для определения готовности к родам.
На этом этапе беременности важно также учитывать, что если роды не начинаются самостоятельно, врач может обсудить с женщиной возможность индукции родов. УЗИ может помочь в принятии решения о том, когда и как лучше всего провести роды, чтобы минимизировать риски для матери и ребенка.
Визуализация на УЗИ на 41 неделе может показать, как выглядит плод, его положение в матке и другие важные параметры. Женщина может увидеть, как ее ребенок выглядит на экране, что может быть очень трогательным моментом. УЗИ на этом сроке может также помочь в подготовке к родам, так как врач может дать рекомендации по тому, чего ожидать в ближайшие дни.
Важно помнить, что каждая беременность уникальна, и результаты УЗИ могут варьироваться. Поэтому всегда стоит обсуждать результаты с врачом, который сможет дать профессиональные рекомендации и советы, основываясь на индивидуальных особенностях здоровья матери и плода.
УЗИ: 42 неделя беременности
На 42 неделе беременности женщина находится на завершающем этапе своего пути к материнству. УЗИ на этом сроке может быть назначено для оценки состояния плода и определения необходимости медицинского вмешательства. Обычно на 42 неделе беременности врачи рекомендуют провести ультразвуковое исследование, чтобы убедиться, что все в порядке как с матерью, так и с ребенком.
Во время УЗИ на 42 неделе специалисты обращают внимание на несколько ключевых аспектов:
- Состояние плода: Врач оценивает размеры плода, его положение и активность. На этом сроке ребенок уже достаточно большой, и его движения могут быть менее активными из-за ограниченного пространства в матке.
- Количество амниотической жидкости: УЗИ позволяет измерить уровень околоплодных вод. Нормальный уровень жидкости важен для здоровья плода, так как она защищает его и обеспечивает необходимые условия для развития.
- Плацента: Врач проверяет состояние плаценты, ее расположение и степень зрелости. На 42 неделе плацента может начать стареть, что может повлиять на питание и кислородоснабжение плода.
- Состояние шейки матки: УЗИ может помочь оценить степень готовности шейки матки к родам. Врач может определить, начались ли какие-либо изменения, которые указывают на приближение родов.
На этом этапе беременности важно также учитывать, что если роды не начинаются самостоятельно, может возникнуть необходимость в медицинском вмешательстве, таком как индукция родов. УЗИ помогает врачам принять обоснованное решение о том, как лучше всего поступить в данной ситуации.
Фотографии, полученные во время УЗИ на 42 неделе, могут показать, как выглядит плод в этот период. Обычно на изображениях можно увидеть хорошо сформированные черты лица, конечности и другие анатомические детали. Эти изображения могут стать ценным воспоминанием для родителей, ожидающих встречи с малышом.
Важно помнить, что каждая беременность уникальна, и результаты УЗИ могут варьироваться. Поэтому всегда следует обсуждать результаты с врачом, который сможет дать рекомендации, основываясь на индивидуальных особенностях здоровья матери и плода.
Часто задаваемые вопросы об УЗИ во время беременности
Ультразвуковое исследование (УЗИ) является важной частью наблюдения за беременностью. Оно позволяет не только подтвердить факт беременности, но и отслеживать развитие плода, выявлять возможные патологии и оценивать состояние здоровья матери. Вопросы, связанные с УЗИ, часто возникают у будущих мам, и в этой части статьи мы постараемся ответить на наиболее распространенные из них.
Когда нужно делать первое УЗИ?
Первое УЗИ обычно назначается на сроке 8-12 недель. В этот период можно подтвердить наличие беременности, определить количество эмбрионов и установить срок беременности с помощью измерения размеров плода. Это исследование также позволяет выявить внематочную беременность и другие аномалии.
Сколько УЗИ нужно делать за всю беременность?
Количество УЗИ зависит от состояния здоровья женщины и плода. В стандартной практике рекомендуется проводить три плановых УЗИ: первое – на ранних сроках (8-12 недель), второе – на 18-22 неделе для оценки анатомии плода и третье – на 30-34 неделе для оценки роста и развития плода, а также состояния плаценты и околоплодных вод. В случае наличия осложнений или рисков, врач может назначить дополнительные исследования.
Безопасно ли УЗИ для плода?
УЗИ считается безопасным методом исследования, так как оно не использует ионизирующее излучение. Ультразвуковые волны, применяемые в процессе, не оказывают негативного воздействия на развивающийся плод. Тем не менее, важно проводить УЗИ только по показаниям и в рамках рекомендованных сроков, чтобы избежать излишнего воздействия.
Что показывает УЗИ на разных сроках беременности?
На ранних сроках (до 12 недель) УЗИ позволяет увидеть эмбрион, оценить его сердцебиение и размеры, а также определить количество плодов. На сроке 18-22 недели исследование помогает оценить анатомию плода, выявить возможные аномалии и определить пол ребенка. На поздних сроках (30-34 недели) УЗИ позволяет оценить рост плода, состояние плаценты и количество околоплодных вод, а также подготовить женщину к родам.
Как подготовиться к УЗИ?
Подготовка к УЗИ зависит от срока беременности и типа исследования. На ранних сроках может потребоваться заполнение мочевого пузыря, чтобы улучшить качество изображения. На более поздних сроках специальная подготовка, как правило, не требуется. Важно прийти на исследование в хорошем настроении и с позитивным настроем, так как это поможет расслабиться и получить более точные результаты.
Что делать, если результаты УЗИ вызывают беспокойство?
Если результаты УЗИ вызывают у вас беспокойство, не стоит паниковать. Лучше всего обсудить их с вашим врачом, который сможет объяснить, что именно они означают, и какие дальнейшие действия необходимо предпринять. В некоторых случаях может потребоваться дополнительное обследование или консультация узких специалистов.






































