Третья неделя беременности — важный этап, когда произошло зачатие и зародыш начинает развиваться. Женщина может не сразу осознать свою беременность, но именно сейчас закладываются основы здоровья и развития малыша. В статье рассмотрим изменения в организме женщины и важные шаги для поддержания здоровья в этот период. Эта информация поможет будущим родителям понять процесс беременности и подготовиться к изменениям.
Что понимают под 3 неделей беременности
Третья неделя беременности считается первой неделей после зачатия и знаменует начало отсчета настоящей беременности. Обычно овуляция происходит на 12-14 день менструального цикла, поэтому конец второй или начало третьей недели является наиболее подходящим временем для зачатия. В этот период оплодотворенная яйцеклетка начинает свой путь в полость матки, где она должна закрепиться на стенке.
В это же время начинается активное развитие будущего малыша. На третьей неделе яйцеклетка начинает делиться, что означает, что в животе будущей мамы может «поселиться» двойня или тройня. Конечно, вынашивание близнецов может сопровождаться некоторыми трудностями, но ничто не сравнится с радостью от появления на свет этого чуда.
На третьей неделе беременности врачи отмечают важные изменения, происходящие в организме женщины. В этот период происходит активное деление клеток и формирование зародыша. Специалисты подчеркивают, что именно сейчас закладываются основные системы и органы будущего ребенка. Важно, чтобы женщина вела здоровый образ жизни, правильно питалась и избегала стрессов, так как это может повлиять на развитие плода. Врачи рекомендуют начать прием фолиевой кислоты, что способствует профилактике различных аномалий. Также на этом этапе стоит обратить внимание на свое самочувствие и при необходимости обратиться к специалисту для консультации. Забота о здоровье в начале беременности закладывает основу для благополучного развития малыша.
https://youtube.com/watch?v=DIxNoYfHhvA
Изменения в организме женщины на 3 неделе беременности
После овуляции в организме происходят определенные изменения, так как он начинает подготовку к возможному вынашиванию ребенка. При этом не имеет значения, произошло ли оплодотворение. Подобные трансформации происходят в каждом менструальном цикле.
После того как зрелая яйцеклетка покидает лопнувший фолликул, на его месте формируется так называемое желтое тело. Этот процесс запускается благодаря повышению уровня лютеинизирующего гормона. Новое образование представляет собой небольшой эндокринный орган, который также вырабатывает специфический гормон — прогестерон, известный как гормон беременности.
Прогестерон играет ключевую роль в том, чтобы оплодотворенная яйцеклетка смогла прикрепиться к стенке матки. Кроме того, этот гормон снижает тонус матки и ее чувствительность к различным раздражителям, что предотвращает отторжение плодного яйца.
Под воздействием прогестерона матка начинает подготовку к развитию новой жизни. Особенно заметные изменения происходят в внутренней слизистой оболочке — эндометрии. Ее толщина значительно увеличивается с 11 мм в начале третьей недели до 14-18 мм к концу. В этот период в оболочке матки активно накапливаются глюкоза, минералы и витамины, необходимые для будущего малыша.
| Категория | Что происходит с мамой | Что происходит с малышом |
|---|---|---|
| Развитие | Овуляция, оплодотворение яйцеклетки, начало имплантации. Возможно легкое кровотечение (имплантационное). | Оплодотворенная яйцеклетка (зигота) активно делится, превращаясь в морулу, затем в бластоцисту. |
| Симптомы | Обычно никаких явных симптомов. Возможно легкое покалывание внизу живота, повышенная чувствительность груди. | Нет ощутимых симптомов для мамы. |
| Рекомендации | Продолжать принимать фолиевую кислоту. Избегать алкоголя, курения, некоторых лекарств. | Важно обеспечить благоприятные условия для имплантации. |
| Важно знать | Беременность еще не подтверждена тестом. Срок беременности отсчитывается от первого дня последней менструации. | Размер эмбриона микроскопический, около 0,1-0,2 мм. |
Ощущения женщины на 3 неделе беременности
На третьей неделе беременности женщины часто ощущают симптомы, напоминающие предменструальный синдром. Это связано с увеличением уровня лютеинизирующего гормона и активной выработкой прогестерона.
Когда яйцеклетка успешно имплантируется в матку, у женщин могут возникнуть изменения в аппетите. Эти изменения проявляются по-разному: некоторые начинают есть больше, в то время как другие теряют интерес к пище. Также могут измениться предпочтения в еде. Например, блюда, которые раньше нравились, могут начать вызывать отвращение, а менее привлекательные продукты, такие как неспелые яблоки или сухие макароны, могут стать желанными.
У большинства женщин наблюдается отвращение к определённым запахам. Позже эти же ароматы могут спровоцировать тошноту, а иногда и рвоту.
В этот период также меняется поведение женщин. Гормональные изменения влияют на работу центральной нервной системы, что может приводить к повышенной раздражительности, вспыльчивости или плаксивости.
Изменения в гормональном фоне также отражаются на внешности. Например, грудь может немного увеличиться и стать более чувствительной. Однако такие изменения обычно наблюдаются во второй половине менструального цикла.
Выделения из половых путей на 3 неделе беременности
На третьей неделе беременности выделения из влагалища не отличаются от тех, что наблюдаются в обычное время. Их объем варьируется в зависимости от индивидуальных особенностей каждой женщины. У некоторых они могут быть более обильными, у других – менее выраженными, однако в любом случае они должны оставаться в пределах нормы. Здоровые выделения имеют молочный оттенок и слегка кислый запах.
Если вы заметили значительные изменения в характере или количестве выделений, стоит незамедлительно обратиться к врачу, так как это может указывать на наличие инфекции в организме. Дополнительные тревожные симптомы включают боли в нижней части живота и повышение температуры.
Вес женщины на 3 неделе беременности
Вес тела, как правило, не подвержен влиянию изменений в гормональном фоне. Тем не менее, в некоторых случаях могут возникать небольшие колебания, как в сторону увеличения, так и уменьшения, не превышающие 300 граммов.
Уровень ХГЧ на 3 неделе беременности
Как только оплодотворённая яйцеклетка имплантируется в стенку матки, начинается выработка особого гормона – хорионического гонадотропина человека, сокращённо ХГЧ. Это вещество играет ключевую роль в защите организма будущего ребёнка от различных внешних факторов, а также инициирует изменения в организме женщины, необходимые для поддержания новой жизни.
Как уже упоминалось, зачатие происходит примерно к началу третьей недели акушерской беременности. Выработка ХГЧ стартует сразу после того, как эмбрион прикрепляется к матке, то есть в конце третьей или начале четвёртой недели. Уровень этого гормона увеличивается довольно быстро: на седьмой день после зачатия он составляет 2-7 мМЕ/л, а на восьмой день – 3-18 мМЕ/л.
Развитие плода на 3 неделе беременности
После овуляции яйцеклетка попадает в маточную трубу, где происходит её встреча со сперматозоидами после эякуляции. По различным данным, она сохраняет способность к оплодотворению в течение 24-48 часов.
Яйцеклетка окружена плотной оболочкой. Сперматозоиды, достигнув её, начинают вращаться вокруг, используя свои жгутики, и выделяют вещества, которые растворяют эту оболочку. Обычно этот процесс продолжается около 12 часов, пока оболочка не истончится. В итоге самый выносливый сперматозоид из 120 миллионов проникает внутрь яйцеклетки.
Оплодотворение происходит за счёт слияния ядра яйцеклетки и сперматозоида, в результате чего образуется зигота — одноклеточный зародыш. Благодаря сокращениям маточных труб зигота медленно движется к полости матки, и в это время начинается процесс деления. Уже через 30 часов зародыш состоит из двух клеток, а на четвёртые сутки — из 7-12 клеток. В первые два дня клетки нового организма формируют морулу — скопление, напоминающее малину. На четвёртый день зародыш уже выглядит как шарик, называемый бластоцистой.
В это время бластоциста достигает полости матки и несколько дней плавает, не прикрепляясь к стенкам (5-й и 6-й день). Деление клеток продолжается, и к концу третьей акушерской недели эмбрион состоит уже из 100 клеток. Его вес в этот период составляет около 3 микрограммов, а размер — не более 0,2 мм.
На седьмой день эмбрион готовится к имплантации в стенку матки. В его клетках накапливаются ферменты, которые растворяют слизистую оболочку, чтобы обеспечить проникновение. В это же время формируются ворсинки (предшественники плаценты), благодаря которым новый организм будет получать необходимые питательные вещества.
Что касается питания, то в первые 7 дней эмбрион получает его из жёлтого тела, которое он захватывает с собой в путь к полости матки. Только после имплантации в стенку матки зародыш начинает получать питание от организма матери. С этого момента будущей маме стоит задуматься о своём рационе. Правильное питание и отдых положительно скажутся на развитии новой жизни.
Вероятные проблемы на 3 неделе беременности
Одной из главных проблем, которая может возникнуть в этот период, является внематочная беременность, или эктопическая беременность. В этом случае эмбрион может развиваться в маточной трубе, шейке матки, а также в брюшной или тазовой полости.
В нормальном состоянии яйцеклетка, покидая яичник, попадает в маточную трубу, поверхность которой покрыта мелкими «ресничками». Эти реснички помогают яйцеклетке медленно перемещаться по трубе в направлении матки, где она оказывается через несколько дней. Именно в маточной трубе происходит оплодотворение. После этого зародыш внедряется в стенку матки.
Тем не менее, если в результате какой-либо инфекции возникает непроходимость маточной трубы, яйцеклетка не может попасть в матку или движется слишком медленно. В результате этого развивается внематочная беременность, что представляет собой серьезную проблему.
Что нельзя делать на 3 неделе беременности
«Спокойствие! Только спокойствие!». Эта известная фраза из мультфильма для детей должна стать девизом каждой женщины на протяжении всей беременности. Будущей маме важно сохранять позитивный настрой и стараться избегать эмоциональных перегрузок. Необходимо отказаться от вредных привычек, а рацион питания должен включать полезные продукты, насыщенные витаминами и минералами.
Питание женщины на 3 неделе беременности
Как уже упоминалось ранее, режим питания на третьей неделе не отличается от привычного. Однако могут начать проявляться некоторые изменения в предпочтениях к вкусам, что зависит от индивидуальных особенностей организма. Тем не менее, стоит придерживаться определенных рекомендаций.
Беременной женщине не следует питаться за двоих. Количество калорий действительно стоит немного увеличить, но незначительно. Вполне достаточно будет 2200 ккал в день, что всего на 300 ккал больше обычной нормы. Рекомендуется перейти на 4-5-разовое питание. Порции не должны быть слишком большими, но при этом должны полностью удовлетворять голод. Для перекусов отлично подойдут различные фрукты или ягоды, а также орехи. Можно также употреблять сухофрукты.
Для нормального развития плода в этот период женщине необходимо увеличить суточное потребление белков и некоторых минеральных веществ. В частности, количество белков следует увеличить на 26 г, кальция – на 800 мг, железа – на 40 мг, а фолиевой кислоты – на 0,4 мг. Эти элементы содержатся в таких продуктах, как яблоки и другие свежие фрукты, хлеб из муки грубого помола, рыба, кисломолочные изделия и брокколи.
Чтобы организм функционировал должным образом, необходимо выпивать не менее 2 литров чистой воды в день. При этом стоит сократить потребление кофе и крепкого чая, но полностью отказываться от них не нужно. Эти напитки могут вызывать легкое привыкание, и резкий отказ от утреннего кофе или послеобеденного чая может привести к снижению артериального давления.
Что касается никотина и алкоголя, то их следует полностью исключить. Даже минимальное содержание этих веществ в организме может нанести серьезный вред будущему ребенку.
Физическая активность на 3 неделе беременности
Для большинства женщин в ожидании ребенка третья неделя беременности не влияет на их физическую активность. Они могут продолжать жить в привычном ритме. Исключение составляют, пожалуй, только профессиональные спортсменки. На этом этапе беременности им не советуют заниматься интенсивными тренировками, участвовать в соревнованиях и подвергать себя чрезмерным физическим нагрузкам.
Секс на 3 неделе беременности
Интимные отношения на третьей неделе беременности могут быть вполне допустимыми, особенно если у женщины длительный менструальный цикл, превышающий 28 дней. Тем не менее, многие специалисты в области медицины советуют воздержаться от близости в конце третьей недели. Это связано с тем, что во время оргазма происходит интенсивное сокращение гладкой мускулатуры половых органов, включая маточные трубы. Такие сокращения могут негативно сказаться на вероятности оплодотворения яйцеклетки или замедлить движение зародыша к матке.
Медицинские процедуры и лекарственные препараты на 3 неделе беременности
На ранних сроках беременности будущей маме крайне важно проявлять осторожность в отношении медикаментов и медицинских процедур. Флюорография и рентгенографические исследования строго запрещены. Остальные процедуры можно выполнять в обычном порядке.
Перед использованием любых лекарств необходимо внимательно изучить их показания и противопоказания. Если препарат не рекомендуется для беременных, лучше от него отказаться.
Особенности 3 недели ЭКО-беременности
Беременность, наступившая благодаря искусственному оплодотворению (экстракорпоральному оплодотворению, или просто ЭКО), часто вызывает у будущих мам множество вопросов. Один из самых распространенных — это как правильно определить срок беременности при обращении в женскую консультацию.
Согласно установленным нормам, днем оплодотворения считается конец второй недели. Независимо от того, сколько времени эмбрион провел в лаборатории до имплантации в организм матери, в начале он находится в «свободном плавании», и лишь к середине четвертой недели происходит его прикрепление к стенке матки. Этот процесс медики называют поздней имплантацией.
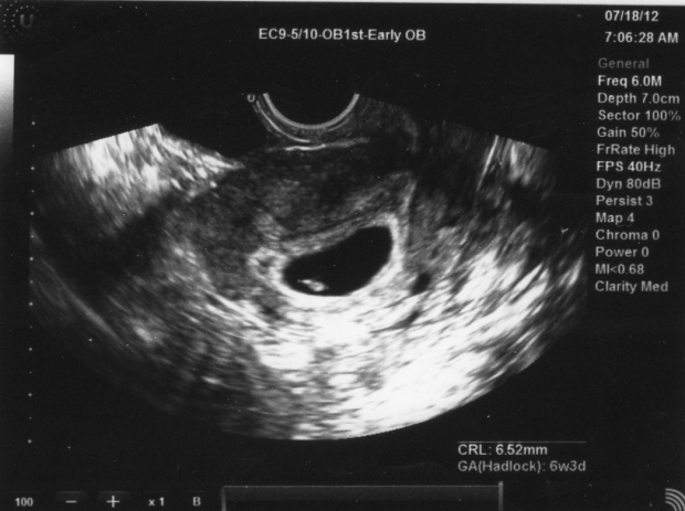
УЗИ на 3 неделе беременности
На 3-4 неделе беременности ультразвуковое исследование выполняется с использованием специального трансвагинального датчика. Эта процедура позволяет уже на таком раннем сроке определить, как протекает беременность, а также выявить возможное внематочное развитие. Кроме того, исследование помогает врачу оценить состояние внутренних слоев матки – миометрия и эндометрия.
С помощью УЗИ специалисты могут на ранних сроках обнаружить такую патологию, как пузырный занос. Симптоматика этого состояния во многом схожа с признаками беременности, однако эмбриона в матке нет. Вместо него наблюдаются пузырьки, количество которых постоянно увеличивается.
При нормальном течении беременности на 3-4 неделе УЗИ показывает значительное утолщение слизистой оболочки матки. В некоторых случаях может быть диагностирована гиперплазия, то есть избыточная толщина, но это явление не представляет опасности и не должно вызывать беспокойства у будущей мамы.
На данном этапе эмбрион еще не виден, он выглядит как крошечная белая точка в полости плодного яйца. Однако УЗИ четко фиксирует желтое тело, которое в этот период обеспечивает гормональную поддержку беременности. Оно функционирует в таком режиме до тех пор, пока не образуется полноценная плацента.
Вы можете ознакомиться на нашем сайте с УЗИ по неделям беременности, где представлены фотографии, иллюстрирующие моменты развития и роста вашего малыша.
3 неделя беременности: видео
https://youtube.com/watch?v=-aocttpZgIM
https://youtube.com/watch?v=S6jtFIg1s80
Эмоциональное состояние женщины на 3 неделе беременности
На третьей неделе беременности женщины могут испытывать широкий спектр эмоций, связанных как с физическими изменениями в организме, так и с психологическими аспектами ожидания малыша. В этот период происходит активное изменение гормонального фона, что может значительно повлиять на эмоциональное состояние.
Одним из наиболее распространенных ощущений является повышенная чувствительность и эмоциональная лабильность. Женщина может неожиданно испытывать радость, тревогу, грусть или раздражение. Эти колебания настроения могут быть вызваны увеличением уровня гормонов, таких как прогестерон и эстроген, которые играют ключевую роль в поддержании беременности.
Также на третьей неделе многие женщины начинают осознавать, что их жизнь меняется. Это может вызывать как радость, так и страх. Мысли о будущем, о том, как изменится повседневная жизнь, могут вызывать беспокойство. Женщина может начать задумываться о том, как она будет справляться с новыми обязанностями, как изменится ее работа, отношения с партнером и окружающими.
Важно отметить, что на этом этапе многие женщины могут испытывать чувство одиночества или непонимания со стороны окружающих. Партнеры и близкие могут не всегда осознавать, через что проходит женщина, и это может усугублять эмоциональное состояние. Поддержка со стороны близких, а также общение с другими будущими мамами может помочь справиться с этими чувствами.
Кроме того, на третьей неделе беременности некоторые женщины могут столкнуться с физическими симптомами, такими как усталость, тошнота или изменения в аппетите, которые также могут влиять на их эмоциональное состояние. Усталость может вызывать раздражительность и сниженное настроение, в то время как тошнота может вызывать беспокойство и дискомфорт.
В этот период важно уделять внимание своему эмоциональному состоянию и находить способы справляться с негативными эмоциями. Это может быть как физическая активность, так и занятия, приносящие удовольствие, например, чтение, творчество или прогулки на свежем воздухе. Общение с близкими и профессионалами в области психологии также может оказать положительное влияние на эмоциональное состояние женщины.
Таким образом, третья неделя беременности — это время значительных изменений, как физического, так и эмоционального характера. Женщинам важно быть внимательными к своим чувствам и находить способы поддерживать свое эмоциональное здоровье в этот важный период жизни.
Советы по подготовке к беременности на 3 неделе
На третьей неделе беременности происходит множество важных изменений как в организме женщины, так и в развитии эмбриона. Этот период является критическим для формирования основных систем и органов будущего ребенка. Поэтому важно уделить внимание подготовке к беременности и заботе о своем здоровье.
1. Правильное питание: Важно обеспечить организм всеми необходимыми питательными веществами. Увеличьте потребление фолиевой кислоты, которая помогает предотвратить дефекты нервной трубки у плода. Включите в рацион больше свежих фруктов, овощей, цельнозерновых продуктов, а также источников белка, таких как рыба, мясо и бобовые.
2. Отказ от вредных привычек: Если вы курите или употребляете алкоголь, сейчас самое время отказаться от этих привычек. Они могут негативно сказаться на развитии плода и здоровье матери. Постарайтесь также ограничить потребление кофеина.
3. Регулярные физические нагрузки: Умеренные физические нагрузки помогут поддерживать здоровье и хорошую физическую форму. Прогулки на свежем воздухе, йога или плавание могут быть отличными вариантами. Однако избегайте чрезмерных нагрузок и интенсивных тренировок.
4. Посещение врача: На третьей неделе беременности рекомендуется записаться на прием к врачу для подтверждения беременности и получения рекомендаций по дальнейшим действиям. Врач может назначить необходимые анализы и обследования, чтобы убедиться, что все идет хорошо.
5. Эмоциональное состояние: Поддерживайте позитивный настрой и старайтесь избегать стрессов. Эмоциональное здоровье также важно для нормального течения беременности. Рассмотрите возможность практики медитации или дыхательных упражнений для снижения уровня стресса.
6. Изучение информации: Начните изучать литературу о беременности и родах. Это поможет вам лучше понять, что происходит с вашим телом и как развиваются изменения в организме. Знание о беременности поможет вам чувствовать себя более уверенно и подготовленно.
Подготовка к беременности на третьей неделе требует внимания к своему здоровью и образу жизни. Следуя этим советам, вы сможете создать оптимальные условия для развития вашего малыша и обеспечить себе комфортный период ожидания.
Рекомендации по выбору врача на ранних сроках беременности
Выбор врача на ранних сроках беременности — это важный шаг, который может оказать значительное влияние на ваше здоровье и здоровье будущего ребенка. На третьей неделе беременности, когда происходит имплантация эмбриона и начинается активное развитие, важно иметь надежного специалиста, который будет поддерживать вас на этом этапе.
Первое, на что стоит обратить внимание при выборе врача, — это его квалификация и опыт. Убедитесь, что ваш гинеколог имеет соответствующее образование и специализацию в области акушерства и гинекологии. Опыт работы с беременными женщинами, особенно на ранних сроках, также является важным фактором. Вы можете узнать о врачах через отзывы других пациенток, а также через рекомендации друзей и семьи.
Следующий аспект — это подход врача к ведению беременности. Некоторые специалисты предпочитают более консервативный подход, в то время как другие могут быть более открытыми к альтернативным методам. Обсудите с врачом его философию и методы работы, чтобы понять, насколько они соответствуют вашим ожиданиям и предпочтениям.
Не менее важным является наличие у врача современного оборудования и технологий. Убедитесь, что клиника, в которой работает ваш врач, оснащена необходимыми средствами для диагностики и мониторинга беременности. Это может включать ультразвуковое оборудование, лаборатории для анализов и другие ресурсы, которые могут понадобиться в процессе ведения беременности.
Также стоит обратить внимание на доступность врача. Важно, чтобы вы могли легко связаться с ним в случае возникновения вопросов или проблем. Узнайте, как можно записаться на прием, каковы часы работы и есть ли возможность консультаций по телефону или онлайн.
Не забывайте о личной связи с врачом. Важно, чтобы вы чувствовали себя комфортно и уверенно, общаясь с ним. Хороший врач должен быть готов выслушать ваши опасения, ответить на вопросы и поддержать вас в течение всей беременности. Если вы чувствуете, что не можете открыто говорить с врачом, возможно, стоит рассмотреть возможность смены специалиста.
Наконец, не забывайте о том, что выбор врача — это личное решение. Прислушивайтесь к своим инстинктам и выбирайте того специалиста, который вызывает у вас доверие и уверенность. Помните, что здоровье вас и вашего будущего ребенка — это приоритет, и правильный врач может сыграть ключевую роль в этом процессе.




