Поликистоз яичников — распространенное эндокринное расстройство, осложняющее зачатие. Женщины, столкнувшиеся с этой проблемой, часто испытывают неуверенность и тревогу по поводу фертильности. В статье рассмотрим эффективные методы и рекомендации для повышения шансов на беременность при поликистозе. Эта информация поможет тем, кто ищет решения своей проблемы и стремится к материнству, а также тем, кто хочет лучше понять свое состояние.
Причины развития поликистоза и шансы забеременеть
СПКЯ (синдром поликистозных яичников) представляет собой хроническое заболевание, которое развивается постепенно, зачастую в течение нескольких месяцев, и на протяжении 80% этого времени не проявляет ярко выраженных симптомов. Причины возникновения этого состояния разнообразны:
• Воспаление яичников (оофорит). Изменения в их структуре, вызванные отёком и патологическими процессами, могут привести к образованию поликистозных изменений.
• Воздействие медикаментов. Гормональные препараты, цитостатики и некоторые противовирусные средства могут тормозить процесс синтеза яйцеклеток.
• Гормональный дисбаланс. Это приводит к сбоям в менструальном цикле и отсутствию овуляции, что связано с нарушением выработки эстрогенов и увеличением уровня андрогенов (мужских половых гормонов).
• Стрессы и нервное напряжение. Эти факторы негативно влияют на менструальный цикл, замедляя и нарушая работу яичников.
При оценке возможности забеременеть с поликистозом яичников важно учитывать этиологические факторы заболевания. Если причина не является тяжёлой, шансы на материнство остаются.
Хронический оофорит можно устранить за месяц при условии правильно подобранного лечения. Проблемы с психоэмоциональным состоянием можно решить за один полноценный курс терапии. В зависимости от степени тяжести расстройства может потребоваться консультация психолога, или же лечение может ограничиться лишь назначением препаратов. Если причиной нарушения функции яичников стало применение определённых медикаментов, их следует отменить. Наиболее длительным процессом является коррекция гормонального фона, который в среднем занимает более двух месяцев.
У женщин с поликистозом яичников вероятность забеременеть выше, если развитие заболевания связано с медикаментозным воздействием или стрессом. Гормональный дисбаланс создает условно положительный прогноз, что означает, что ключевым фактором является успешность заместительной терапии.
Врачи подчеркивают, что поликистоз яичников может значительно усложнить процесс зачатия, однако это не означает, что беременность невозможна. Специалисты рекомендуют начать с комплексного обследования, чтобы определить степень нарушения гормонального фона и состояния яичников. Важным шагом является коррекция веса, так как избыточная масса тела может усугублять симптомы заболевания.
Медики часто назначают гормональные препараты для восстановления менструального цикла и стимуляции овуляции. Также полезными могут быть методы вспомогательной репродукции, такие как инсеминация или экстракорпоральное оплодотворение. Врачи акцентируют внимание на необходимости регулярного наблюдения и индивидуального подхода к каждой пациентке, что позволяет повысить шансы на успешное зачатие.
https://youtube.com/watch?v=4EWo-RjZp-0
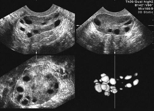
Диагностика
Для того чтобы выяснить, как правильно лечить поликистоз яичников с целью зачатия, женщине необходимо пройти ряд диагностических процедур. Следующие методы исследования помогут оценить вероятность наступления беременности:
-
Ультразвуковое исследование органов малого таза с акцентом на состояние яичников.
-
Лапароскопия — это процедура, при которой используется специальный инструмент с оптической системой для детального осмотра.
-
Магнитно-резонансная томография (МРТ), которая позволяет изучить анатомию, расположение и уровень кровоснабжения яичников.
Кроме того, важно провести лабораторные анализы крови и мочи. Повышенное количество лейкоцитов и увеличение скорости оседания эритроцитов (СОЭ) могут указывать на наличие воспалительного процесса. Также анализ крови позволяет оценить уровень гормонов.
| Категория | Рекомендации | Примечания |
|---|---|---|
| Образ жизни | 1. Сбалансированное питание: Уменьшение потребления простых углеводов, увеличение клетчатки, белка и полезных жиров. | Помогает стабилизировать уровень сахара в крови и инсулина, что часто нарушено при СПКЯ. |
| 2. Регулярная физическая активность: Умеренные нагрузки (30-60 минут 3-5 раз в неделю). | Способствует снижению веса, улучшает чувствительность к инсулину и гормональный баланс. | |
| 3. Контроль веса: Снижение избыточного веса на 5-10% может значительно улучшить овуляцию. | Даже небольшая потеря веса может восстановить менструальный цикл и повысить шансы на зачатие. | |
| 4. Управление стрессом: Йога, медитация, дыхательные практики. | Хронический стресс может негативно влиять на гормональный фон и овуляцию. | |
| 5. Отказ от вредных привычек: Курение, чрезмерное употребление алкоголя. | Могут ухудшать репродуктивное здоровье и снижать шансы на успешное зачатие. | |
| Медикаментозное лечение | 1. Стимуляция овуляции: Кломифен цитрат, летрозол. | Препараты, которые помогают яичникам производить и высвобождать яйцеклетки. Назначаются врачом. |
| 2. Метформин: Для улучшения чувствительности к инсулину. | Часто используется при инсулинорезистентности, характерной для СПКЯ, что может способствовать восстановлению овуляции. | |
| 3. Инозитол (мио-инозитол, D-хиро-инозитол): Добавки, улучшающие функцию яичников. | Может помочь регулировать менструальный цикл и улучшить качество яйцеклеток. | |
| 4. Гормональная терапия: В некоторых случаях для регуляции цикла. | Назначается индивидуально врачом для коррекции гормонального дисбаланса. | |
| Вспомогательные репродуктивные технологии (ВРТ) | 1. Внутриматочная инсеминация (ВМИ): Введение спермы непосредственно в матку. | Может быть эффективна при наличии овуляции, стимулированной медикаментами. |
| 2. Экстракорпоральное оплодотворение (ЭКО): Оплодотворение яйцеклеток вне тела. | Рассматривается, если другие методы не принесли результата или при наличии дополнительных факторов бесплодия. | |
| Хирургическое лечение | 1. Лапароскопическая дриллинг яичников: Создание небольших отверстий в яичниках. | Может временно улучшить овуляцию, но эффект не всегда долгосрочный. Редко используется как первая линия лечения. |
| Дополнительные рекомендации | 1. Регулярные консультации с врачом-репродуктологом: Индивидуальный план лечения. | Важно для мониторинга состояния, корректировки терапии и выбора оптимального пути. |
| 2. Отслеживание овуляции: Тесты на овуляцию, измерение базальной температуры. | Помогает определить наиболее благоприятные дни для зачатия. | |
| 3. Поддержка партнера: Обследование и при необходимости лечение партнера. | Здоровье обоих партнеров важно для успешного зачатия. |
Лечение поликистоза яичников
Женщина может стать матерью только после лечения поликистоза, так как зачатие в большинстве случаев невозможно при наличии этого заболевания. Существует два подхода к терапии данной патологии: консервативные и хирургические методы. Медикаментозное лечение применяется для неосложнённых случаев, тогда как хирургическое вмешательство необходимо в ситуациях, когда наблюдаются серьёзные изменения в структуре и расположении яичников.
https://youtube.com/watch?v=fdqpdIrHRC4
Консервативные методы
Гинеколог может назначить противовоспалительные средства, антибиотики и успокаивающие препараты, в зависимости от причин поликистозных яичников (СПКЯ).
Для лечения поликистоза и восстановления функции яичников часто применяются препараты, содержащие прогестерон. Важно отметить, что такая гормональная терапия требует одновременного использования синтетических эстрогенов. Стимуляция овуляции при поликистозе начинается с 9 дня менструального цикла.
К возможным побочным эффектам лечения прогестероном и его производными относятся:
• значительное увеличение массы тела;
• повышенная потливость;
• рост артериального давления с возможными кризами;
• головные боли, ощущение нехватки воздуха, слабость и головокружение.
Продолжительность гормональной терапии при поликистозе зависит от множества факторов, включая возраст и вес пациентки.
Минимальный срок антибиотикотерапии при лечении оофорита составляет более 2 недель. Выбор конкретного препарата основывается на определении основного возбудителя инфекции. После завершения антибактериального курса женщине необходимо пройти повторное УЗИ органов малого таза.
Седативные средства назначает невролог, в то время как успокаивающие препараты помогают лишь скорректировать психоэмоциональное состояние. Дальнейшие действия зависят от диагноза, установленного гинекологом. Стимуляция яичников для выработки яйцеклеток может осуществляться как медикаментозно, так и хирургически.
Витаминотерапия не является основным методом лечения, но служит вспомогательным направлением, способствующим нормализации состояния яичников, поражённых кистами. Рекомендуется введение токоферола (витамина E), так как он способствует улучшению кровообращения.
Хирургические методы
Лапароскопия применяется исключительно в тех случаях, когда консервативные методы лечения оказываются неэффективными. Этот метод не является первым выбором в терапии синдрома поликистозных яичников (СПКЯ). Процедура включает в себя рассечение яичников, что позволяет яйцеклетке свободно выходить наружу. Восстановление после операции происходит быстро, а послеоперационные рубцы остаются минимальными. Оценка возможности наступления беременности проводится только по окончании реабилитационного периода. В 90% случаев, когда поликистоз устраняется хирургическим путем, прогноз оказывается положительным.
https://youtube.com/watch?v=sYLKPB_OFFw
Средства народной медицины
Несмотря на обилие рецептов, предлагаемых народной медициной, они не способны помочь в случае, если основная проблема заключается в поликистозе. Гинекологи не советуют полагаться на такие методы, так как они не приносят ожидаемого результата. Отвары, настои и ванны могут быть полезны лишь как дополнение к основному лечению поликистоза. Назначать их должен только врач, поскольку необходимо учитывать множество факторов.
Особенности беременности у женщин, перенесших поликистоз яичников
Период беременности у женщин, перенесших лечение синдрома поликистозных яичников (СПКЯ), может отличаться от протекания беременности у тех, кто не сталкивался с этой проблемой до зачатия. Существует вероятность выкидыша из-за гормонального дисбаланса.
Для своевременного обнаружения возможных отклонений необходимо ежедневно следить за состоянием женщины: контролировать артериальное давление, объем выделяемой мочи и общее самочувствие. При малейшем ухудшении состояния рекомендуется госпитализация в гинекологическое отделение.
Хотя поликистоз яичников может представлять опасность для зачатия, при адекватном и своевременном лечении шансы на беременность остаются высокими.
Изменение образа жизни и питания
plays a key role in managing polycystic ovary syndrome (PCOS) and increasing the chances of pregnancy. Polycystic ovary syndrome is an endocrine disorder that can cause menstrual cycle irregularities, ovulation problems, and other metabolic changes. Therefore, it is important to pay attention to factors that can help improve overall health and restore hormonal balance.
1. Сбалансированное питание
Правильное питание является основой для поддержания нормального веса и улучшения метаболизма. Рекомендуется следовать принципам сбалансированного рациона, который включает:
- Овощи и фрукты: Они богаты витаминами, минералами и антиоксидантами, которые способствуют улучшению общего состояния организма.
- Цельнозерновые продукты: Овсянка, коричневый рис и цельнозерновой хлеб помогают поддерживать уровень сахара в крови на стабильном уровне.
- Белки: Включение нежирных источников белка, таких как курица, рыба, бобовые и орехи, способствует восстановлению тканей и поддержанию мышечной массы.
- Здоровые жиры: Омега-3 жирные кислоты, содержащиеся в рыбе, льняном семени и орехах, помогают снизить воспаление и поддерживать гормональный баланс.
2. Контроль веса
Избыточный вес может усугубить симптомы ПКЯ и затруднить зачатие. Даже небольшая потеря веса (5-10% от общего веса) может значительно улучшить овуляцию и увеличить шансы на беременность. Для достижения и поддержания здорового веса важно сочетать правильное питание с регулярной физической активностью.
3. Физическая активность
Регулярные физические нагрузки помогают улучшить чувствительность к инсулину, что особенно важно для женщин с ПКЯ. Рекомендуется заниматься аэробными упражнениями (например, бег, плавание, велоспорт) не менее 150 минут в неделю, а также включать силовые тренировки для укрепления мышц. Физическая активность способствует улучшению настроения и снижению стресса, что также положительно сказывается на репродуктивном здоровье.
4. Управление стрессом
Стресс может негативно влиять на гормональный баланс и усугублять симптомы ПКЯ. Практики релаксации, такие как йога, медитация и дыхательные упражнения, могут помочь снизить уровень стресса и улучшить общее самочувствие. Важно находить время для отдыха и занятий, которые приносят удовольствие.
5. Избегание вредных привычек
Курение и чрезмерное употребление алкоголя могут негативно сказаться на фертильности. Отказ от этих привычек не только улучшит общее состояние здоровья, но и повысит шансы на успешное зачатие.
— это важный шаг на пути к беременности при поликистозе яичников. Консультация с врачом или диетологом поможет разработать индивидуальный план, который будет учитывать все особенности здоровья и образа жизни женщины.
Психологическая поддержка и консультации
Психологическая поддержка играет важную роль в процессе зачатия, особенно для женщин, страдающих поликистозом яичников (ПКЯ). Эмоциональные и психологические аспекты могут значительно влиять на фертильность и общее состояние здоровья. Поэтому важно уделять внимание не только физическому, но и психологическому состоянию.
Женщины с ПКЯ часто сталкиваются с такими проблемами, как бесплодие, нерегулярные менструации и гормональные нарушения, что может вызывать чувство тревоги, депрессии и стресса. Эти эмоции могут негативно сказаться на гормональном фоне и, как следствие, на способности забеременеть. Поэтому важно искать поддержку и помощь.
Консультации с психологом или психотерапевтом могут помочь справиться с эмоциональными трудностями. Специалист может предложить различные методы работы с эмоциями, такие как когнитивно-поведенческая терапия, которая помогает изменить негативные мысли и установки, связанные с фертильностью и беременностью.
Группы поддержки также могут стать отличным ресурсом. Общение с женщинами, которые сталкиваются с аналогичными проблемами, может помочь снизить уровень стресса и дать возможность поделиться опытом. В таких группах можно получить не только эмоциональную поддержку, но и полезные советы по вопросам, связанным с лечением и подготовкой к беременности.
Кроме того, важно развивать навыки управления стрессом. Это может включать в себя практики медитации, йоги, дыхательные упражнения и физическую активность. Регулярные занятия спортом способствуют выработке эндорфинов, которые помогают улучшить настроение и общее самочувствие.
Не стоит забывать и о поддержке со стороны близких. Открытое общение с партнером, друзьями и семьей может значительно облегчить эмоциональное бремя. Поддержка и понимание со стороны окружающих могут стать важным фактором в процессе зачатия.
В заключение, психологическая поддержка и консультации являются неотъемлемой частью подготовки к беременности при поликистозе яичников. Уделяя внимание своему эмоциональному состоянию, женщины могут повысить свои шансы на успешное зачатие и улучшить общее качество жизни.
Советы по планированию беременности и отслеживанию овуляции
Поликистоз яичников (ПКЯ) является распространенным эндокринным расстройством, которое может затруднить зачатие. Однако с правильным подходом и пониманием своего организма, шансы на успешную беременность значительно увеличиваются. В этом разделе мы рассмотрим несколько советов по планированию беременности и отслеживанию овуляции для женщин с ПКЯ.
1. Консультация с врачом
Первым шагом на пути к беременности является консультация с врачом, который специализируется на репродуктивном здоровье. Врач может провести необходимые обследования, чтобы оценить состояние ваших яичников и уровень гормонов. Это поможет определить, какие методы лечения могут быть полезны для улучшения фертильности.
2. Отслеживание менструального цикла
Женщинам с ПКЯ часто сложно предсказать овуляцию из-за нерегулярных менструальных циклов. Ведение календаря менструаций поможет вам отслеживать свои циклы и выявлять возможные паттерны. Записывайте даты начала и окончания менструации, а также любые симптомы, которые могут указывать на овуляцию, такие как изменения в цервикальной слизи или легкие боли внизу живота.
3. Использование тестов на овуляцию
Тесты на овуляцию могут быть полезным инструментом для определения времени овуляции. Эти тесты измеряют уровень лютеинизирующего гормона (ЛГ) в моче, который повышается перед овуляцией. Регулярное использование тестов поможет вам точно определить наиболее благоприятные дни для зачатия.
4. Мониторинг базальной температуры
Измерение базальной температуры тела (БТТ) также может помочь в отслеживании овуляции. БТТ обычно немного повышается после овуляции. Регулярное измерение температуры каждое утро до подъема с постели и ведение графика поможет вам выявить изменения, связанные с овуляцией.
5. Поддержание здорового образа жизни
Здоровый образ жизни играет ключевую роль в улучшении фертильности. Это включает в себя сбалансированное питание, регулярные физические нагрузки и отказ от вредных привычек, таких как курение и чрезмерное употребление алкоголя. Избыточный вес или недостаток веса также могут негативно сказаться на фертильности, поэтому поддержание здорового веса является важным аспектом.
6. Рассмотрение медицинских вмешательств
В некоторых случаях может потребоваться медицинское вмешательство для стимуляции овуляции. Врач может назначить препараты, такие как кломифен цитрат или гонадотропины, которые помогают регулировать овуляцию. Также могут быть рекомендованы процедуры, такие как интраутеринная инсеминация (IUI) или экстракорпоральное оплодотворение (ЭКО), в зависимости от индивидуальных обстоятельств.
7. Психологическая поддержка
Планирование беременности может быть эмоционально сложным процессом, особенно для женщин с ПКЯ. Поддержка со стороны партнеров, друзей и семьи, а также профессиональная психологическая помощь могут помочь справиться с эмоциональными трудностями и стрессом, связанными с попытками забеременеть.
Следуя этим советам и работая в тесном сотрудничестве с медицинскими специалистами, женщины с поликистозом яичников могут значительно повысить свои шансы на успешное зачатие и беременность.




